Лечение лимфомы у кошек
Лечебные методики, которые зависят от стадии, локализации опухоли, возраста, должен назначать ветеринар. Отметим, что лечение даёт позитивные результаты только на начальной стадии развития онкоболезни. При этом 100% гарантии на полное излечение питомца не даст не один специалист. Раковые болезни имеют склонность к рецидивам, поэтому даже после полного излечения, не исключено повторное появление болезни.
При постановке диагноза ветеринары учитывают данные анамнеза, результаты гистологии, цитологии, комплексного обследования, биохимии крови, УЗИ, других исследований, которые были проведены в клинике.
В целом лимфомы поддаются лечению химиотерапией, но только на начальных стадиях развития. В большинстве случаев пушистые пациенты хорошо переносят химиотерапию. Чаще всего применяют комбинированную ХТ. Чтобы избежать развития побочных эффектов, после курса химии назначается поддерживающая, общеукрепляющая терапия.
Важно! Лечение направлено на нормализацию общего состояния животных, а также на снижение количества раковых клеток, предотвращение их деления. Помимо этого ветеринары делают всё возможное, чтобы избежать ремиссии. . В редких случаях, и только при выраженной интоксикации, где существует риск побочных эффектов, в ветпрактике при диагностировании лимфосаркомы применяют монохимиотерапию
При данной методике используют один препарат (циклофосфан, доксорубицин). Лечение даёт непродолжительный эффект и в целом, малоэффективно.
В редких случаях, и только при выраженной интоксикации, где существует риск побочных эффектов, в ветпрактике при диагностировании лимфосаркомы применяют монохимиотерапию. При данной методике используют один препарат (циклофосфан, доксорубицин). Лечение даёт непродолжительный эффект и в целом, малоэффективно.
Если раковая опухоль нарушает функционирование органов, тканей, требуется хирургическое вмешательство. К примеру, в случае непроходимости кишечника, нарушениях работы ЖКТ. При этом оперативный метод не является основным при лечении опухолей у животных и чаще всего имеет симптоматический характер.
После профессионально проведённого лечения кошки нуждаются в постоянном внимании, заботе, должном уходе. Даже если лечение прошло успешно, владельцы своевременно обратились в клинику, нужно два-три раза в год возить кошку на профилактические обследования.
Уход за больной кошкой
К сожалению, от этой болезни нет лекарства. В некоторых случаях единственное решение — обеспечить дополнительный уход для улучшения качества жизни пораженных животных.
Важно внимательно следить за потреблением корма и воды вашей кошкой, пока она находится в фазе выздоровления. Прогноз этого заболевания сильно варьируется и зависит от первоначального ответа на лечение, анатомического типа опухоли, статуса FeLV и опухолевой нагрузки
Прогноз этого заболевания сильно варьируется и зависит от первоначального ответа на лечение, анатомического типа опухоли, статуса FeLV и опухолевой нагрузки.
Если начата химиотерапия, вам может потребоваться регулярно обследовать кошку. Во время каждого визита ваш ветеринар будет проводить анализ крови, чтобы определить реакцию на лечение, а также проверить статус любых осложнений, возникающих из-за проводимого лечения, чтобы можно было внести необходимые корректировки.
Если химиотерапевтические препараты были прописаны в рамках домашнего лечения, обязательно внимательно следуйте инструкциям, так как химиотерапевтические препараты очень токсичны для здоровья человека
Основные меры предосторожности включают использование латексных перчаток перед приемом лекарства
Если обезболивающие для кошекбыли прописаны, используйте их с осторожностью и внимательно следуйте всем инструкциям, убедившись, что все члены семьи знакомы с графиком приема лекарств; одна из самых предотвратимых катастроф с домашними животными — передозировка лекарств. Время выживания сильно различается: от нескольких месяцев до менее двух лет
Время выживания сильно различается: от нескольких месяцев до менее двух лет.
Терапия
Лимфома – это заболевание, которое в большинстве случаев не поддается полному излечению, поскольку при обращении в ветеринарную клинику у животного уже диагностируется минимум 3 стадия онкологии.
Главная задача врачей заключается в том, чтобы предотвратить дальнейшее распространение раковых клеток, снизить симптоматику и максимально увеличить сроки жизни питомца.

Необходимо принимать во внимание такие показатели, как состояние здоровья, возраст и вес кошки. При выборе монохимиотерапии используется только один лекарственный препарат
Но такая методика редко бывает эффективной, поэтому ее применяют редко
При выборе монохимиотерапии используется только один лекарственный препарат. Но такая методика редко бывает эффективной, поэтому ее применяют редко.
При отсутствии определенных противопоказаний показана комбинированная химиотерапия.
Назначается прием медикаментов по одной из 2-х схем. В первом случае речь идет о таких препаратах, как Винкристина, Преднизолон и Циклофосфан. Такая терапия подразумевает проявление минимального количества побочных эффектов.
Согласно второму протоколу к перечисленным выше лекарственным средствам добавляется Доксорубицин.

Диагностика
Одним из первых видов диагностики лимфомы у кошек является осмотр и пальпация. При данных манипуляциях возможно определение увеличения групп и одиночных лимфоузлов, селезенки и печени. При перкуссии (простукивании) живота и селезенки опытный врач может заподозрить наличие там жидкости. Тщательно осматриваются кожные покровы, область ротоглотки.
Обязательно проводятся лабораторные анализы. В общем анализе крови может наблюдаться как повышение (лейкоцитоз), так и снижение (лейкопения) количества лейкоцитов. Цифры обычно резко завышены по сравнению с нормой. В биохимическом анализе крови отмечают повышенное содержание щелочной фосфотазы и печеночных ферментов (АЛТ и АСТ). Анализы крови повторяют еженедельно для просмотра динамики заболевания и составления прогнозов.
Очень важно в диагностике ультразвуковое исследование. Оно помогает отметить метастазы в органах, наличие самой опухоли, уровня жидкости
Обязательно осматривают все органы брюшной полости – почки, печень, селезенка и кишечник.
Для оценки состояния легких и грудной полости проводят рентгенографию. На ней можно увидеть скопление жидкости, увеличение вилочковой железы и состояние грудных лимфоузлов.
Если позволяют условия клиники, то для более точной диагностики используют магнитно-резонансную терапию.
Для подтверждения диагноза всех вышеперечисленных методов недостаточно. Для установления диагноза – лимфома необходимо проведение цитологии. Для этого забирают часть клеток из предполагаемой опухоли при проведении биопсии, которые затем исследуют после окрашивания под микроскопом. Также проводят иммунохимический анализ.
Еще одной важной составляющей постановки диагноза является серологическое исследование крови на наличие вируса лейкоза кошек
Симптомы лимфомы у кошки
Симптоматическое проявление лимфомы кошек не является специфичным и носит весьма разнообразный характер, зависящий от пораженного органа и стадии процесса.
Существует 5 основных видов лимфом по анатомической зоне поражения:
- мультицентрическая (многоочаговая, поражение более одного органа);
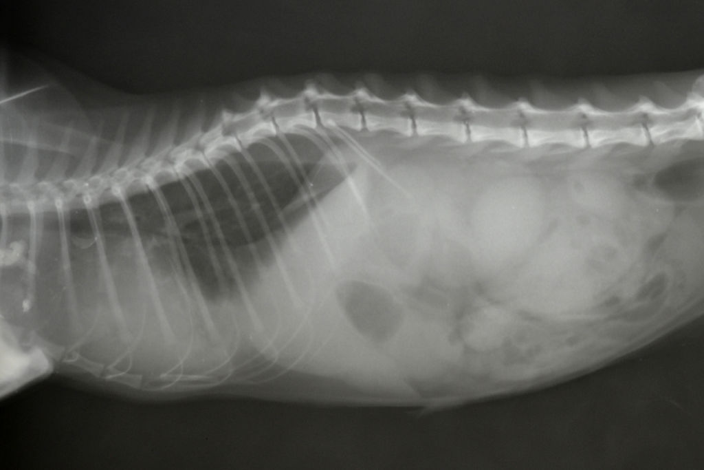
- алиментарная (желудочно-кишечный тракт) (рис.1);
- медиастенальная (лимфатические узлы в грудной клетке);
- экстранодальная (сердце, глаза, нервы, почки);
- кожная.
Рис. 1. Алиментарная лимфома кошек с локализацией в подвздошной кишке, увеличение мезентериальных лимфоузлов.
Также различают стадии заболевания:
- 1 стадия: поражение одного лимфатического узла;
- 2 стадия: поражение 2х и более лимфоузлов одного анатомического региона;
- 3 стадия: генерализованная лимфоаденопатия (поражение всех лимфоузлов);
- 4 стадия: вовлечение в процесс печени или селезенки;
- 5 стадия: вовлечение в процесс красного костного мозга и/или нелимфоидного органа (центральная нервная система, глаза, легкие) с/без 1-4 стадии.
Наиболее часто первыми признаками заболевания является беспричинная анорексия, увеличение лимфатических узлов, общая слабость. Может отмечаться асцит, скопление жидкости в грудной полости, кашель. Может развиваться комплекс системных эффектов, так называемый паранеопластический синдром: анемия, тромбоцитопения, гиперкальциемия, моноклональная гаммапатия, нейропатия, раковая кахексия.
Диагностика лимфомы у кошек
При наличии онкологического процесса в организме вашего питомца, необходимо понимать, что эффективность лечения находится в прямой зависимости от стадии заболевания на момент проведения диагностики. Многие новообразования на начальных стадиях незаметны для владельцев кошек и могут не вызывать никаких клинических проявлений очень длительное время, поэтому рекомендуется приводить своего любимца на систематическое профилактическое обследование 1 раз в год, особенно если он находится в группе риска.
Для выявления наличия онкологического процесса у кошек проводится сбор анамнеза, полный клинический осмотр питомца, сдаются клинический и биохимический анализы крови, проводится обзорная рентгенография на наличие объемных опухолевых образований, при наличии показаний проводится ультразвуковое обследование (УЗИ) интересующей области. Все это дает общее представление о состоянии организма, наличии пораженных органов, но не дает возможности достоверно поставить диагноз лимфосаркома (рис. 2). Для подтверждения заболевания проводится цитологическое исследование образца клеток из измененной ткани и увеличенных лимфоузлов, это дает возможность в большинстве случаев подтвердить диагноз за короткий промежуток времени (3-5 дней). Для более точного определения типа опухоли сдается образец ткани или новообразование целиком на гистологическое исследование, по времени анализ занимает несколько недель.
Рис. 2. Результат цитологического анализа, характерного для лимфомы.
Также рекомендуется сдавать от кошек с подозрением на лимфому анализ крови на наличие вирусов FeLV и FIV, что влияет на дальнейший прогноз заболевания.
Характеристика заболевания
Лимфома — заболевание, поражающее лимфатическую систему. В процессе развития патологического состояния происходит распространение злокачественных клеток по организму животного.
Согласно статистическим данным, среди всех типов раковых образований такая патология находится на первом месте по распространенности.
По характеру воздействия на организм выделяют лимфому индолентной и агрессивной формы.
Первую группу составляют доброкачественные опухоли с благоприятным прогнозом. При выявлении второй формы требуется незамедлительное проведение соответствующих терапевтических мероприятий.
При несвоевременном оказании помощи болезнь начинает стремительно развиваться, поражая мягкие ткани и повышая вероятность смерти животного.
Заболевание имеет 4 стадии развития.
Вторая
Происходит вовлечение в онкологический процесс региональных лимфатических узлов. Не исключается появление первичной опухоли в ЖКТ.
Третья
Для этой стадии характерны экстранодулярные новообразования и опухолевые процессы, затрагивающие полость брюшины.
Пятая
Отмечаются все признаки, характерные для 1-4 стадий. Также диагностируется нарушение работы костного мозга и центральной нервной системы.
Вместо здоровых клеток в составе крови образуются раковые.
Этиология
Лимфома – рак, злокачественный тип действия которого касается лимфоцитов, отвечающих за иммунитет. Опасность заключается в том, что лимфатические клетки двигаются по всему телу, поэтому опухолевидный участок возникает в любом месте. Главная причина развития болезни – РНК-вирус. Другие факторы:
- длительная, чрезмерная подверженность облучению;
- попадание внутрь токсичных солей тяжёлых металлов;
- неблагоприятная экологическая обстановка;
- сбои в тканевом строении на генетическом уровне;
- наследственная предрасположенность.
Опухолевый синдром обычно проявляется у кошек возрастом до 3 или старше 7–8 лет. Риск повышается, если кот страдает иммунодефицитом или болеет вирусной лейкемией. Данные факторы отмечаются как основные наряду с генетикой или наследственностью.
Диагностика лимфомы у кошек
При наличии онкологического процесса в организме вашего питомца, необходимо понимать, что эффективность лечения находится в прямой зависимости от стадии заболевания на момент проведения диагностики. Многие новообразования на начальных стадиях незаметны для владельцев кошек и могут не вызывать никаких клинических проявлений очень длительное время, поэтому рекомендуется приводить своего любимца на систематическое профилактическое обследование 1 раз в год, особенно если он находится в группе риска.
Для выявления наличия онкологического процесса у кошек проводится сбор анамнеза, полный клинический осмотр питомца, сдаются клинический и биохимический анализы крови, проводится обзорная рентгенография на наличие объемных опухолевых образований, при наличии показаний проводится ультразвуковое обследование (УЗИ) интересующей области. Все это дает общее представление о состоянии организма, наличии пораженных органов, но не дает возможности достоверно поставить диагноз лимфосаркома (рис. 2). Для подтверждения заболевания проводится цитологическое исследование образца клеток из измененной ткани и увеличенных лимфоузлов, это дает возможность в большинстве случаев подтвердить диагноз за короткий промежуток времени (3-5 дней). Для более точного определения типа опухоли сдается образец ткани или новообразование целиком на гистологическое исследование, по времени анализ занимает несколько недель.
Рис. 2. Результат цитологического анализа, характерного для лимфомы.
Также рекомендуется сдавать от кошек с подозрением на лимфому анализ крови на наличие вирусов FeLV и FIV, что влияет на дальнейший прогноз заболевания.
Что такое лимфома у кошек?
Лимфома – это разновидность злокачественный рак и это одно из самых распространенных новообразований в медицине кошек. Это связано с аномальное производство защитных клеток называется лимфоцитами. Эти клетки находятся в лимфатических узлах, но их можно найти практически по всему телу (желудочно-кишечный тракт, кожа, печень, нервная система и т. Д.).
Лимфома кошек является одним из наиболее распространенных типов рака у кошек и может появляться в одном или нескольких местах одновременно, как мы объясняем в этой другой статье Better-Pets.net о Раке у кошек – Типы, симптомы и лечение. .
Лечение
Основу в лечении различного вида лимфом составляет химиотерапия. Существует множество схем препаратов, которые используются в зависимости от тяжести состояния животного и распространенности процесса. При лечении стоит учитывать губительное действие химиопрепаратов не только на опухолевые клетки, но и на органы репродуктивной системы, костного мозги и многих органов. Проведение терапии длительное, препараты даются 1 раз в неделю курсом от 4 до 6 месяцев. За это время регулярно ведется контроль состояния и сдача лабораторных анализов.
Если за один курс достигается ремиссия – введение препаратов прекращают или увеличивают время между введение (более двух недель).
В большинстве случаев химиотерапия переносится кошками благоприятно. Редко возможно наблюдение таких побочных явлений как рвота, снижение резистентности иммунной системы, анорексия.
Основные химиопрепараты – метотриксат, цитозин, л-аспартакиназа, винкристин.
Лучевая терапия при лимфосаркоме не применяется из-за системного характера заболевания. При угрожающей жизни опухоли применят оперативное вмешательство, при котором полностью удаляют опухоль с прилежащими к ней лимфоузлами.
3.Симптомы и диагностика
Клиническая картина формируется многочисленными и, как правило, значительно выраженными симптомами, ни один из которых, однако, не является патогномоничным (однозначно указывающим на данное заболевание). Диагноз «лимфома кишечника» предполагается на основании специфического сочетания таких проявлений, как значительное увеличение и пальпаторная болезненность лимфатических узлов, болевой синдром (обычно усиливающийся в связи с дефекацией и/или приемом пищи), повышение температуры и общее недомогание, разнообразные диспептические явления, гипергидроз. Иногда отмечается примесь крови в каловых массах. Одна из особенностей лимфомы кишечника, отличающая ее от прочих онкозаболеваний, заключается в быстром появлении и нарастании клинически значимых симптомов, что оставляет шанс на раннюю правильную диагностику.
Следует отметить, что лимфомы кишечника широко варьируют в плане агрессивности, темпов роста, конкретной локализации (обычно это тонкий кишечник, реже толстый, очень редко встречается тотальное поражение всего кишечника), гистологических характеристик, а также стадийности в каждом конкретном случае обращения за помощью.
Решающим методом диагностики является биопсия. Некоторые клинические варианты лимфомы кишечника, особенно в запущенных формах, характеризуются крайне неблагоприятным прогнозом, другие (до 50%) считаются излечимыми.
Лечение
Главным методом лечения лимфом является химиотерапия. Есть большое количество схем приема препарата, применяемых исходя их тяжести заболевания. Однако в процессе лечения должны быть учтены еще и негативные его воздействия на сам организм питомца. Курс такой терапии длительный, лекарства даются только 1 раз каждую неделю в течение порядка полугода. В течение этого времени постоянно контролируется состояние кошки и сдаются анализы.
Если по результату одного курса удается достичь ремиссии – то прием препаратов либо прекращается, либо интервал между их приемом вдвое увеличивается. Зачастую такую терапию питомцы переносят достаточно хорошо, крайне редко можно наблюдать рвоту, анорексию или иные побочные эффекты. Использование лучевой терапии для лечения исключается системностью патологии. Если размеры опухоли обретают чрезмерные значения, проводится хирургическое её удаление.
У кошек. Опухоль происходит из лимфоцитарных клеток, отвечающих за формирование иммунного ответа, защиту организма. Лимфома может развиваться в различных органах и поражать жизненно важные системы. Так, опухоль часто обнаруживается в желудочно-кишечном тракте, почках, печени, лимфатических узлах, костном мозге, коже, в грудной полости и носовых ходах. Наиболее часто лимфома поражает кишечник пожилых кошек. Кошки, инфицированные вирусом лейкоза кошек и вирусом иммунодефицита особенно подвержены риску развития опухолевого процесса.
Лимфома является наиболее частой причиной формирования гиперкальциемии (повышенный уровень кальция в крови) у кошек.
Причины возникновения
Механизм развития любых онкозаболеваний заключается в генетических мутациях патологических (раковых) клеток, которые не только быстро размножаются, но и вытесняют здоровые клеточные структуры, мешая их нормальному функционированию. Этиология во многом связана с иммунодефицитным состоянием, которое, как правило, обусловлено породной предрасположенностью и генетически (наследственно).
Важно! Лимфому наиболее часто выявляют у кошек абиссинской породы, а также у сиамцев и их помесей. Возможные причины:. Возможные причины:
Возможные причины:
- неблагоприятные эндогенные факторы (табачный дым, воздействие канцерогенов, пестициды);
- вирус лейкемии, вирус лейкоза кошек (FeLV);
- аутоиммунные патологии;
- хроническое отравление тяжёлыми химикатами, солями тяжёлых металлов;
- снижение иммунной защиты, сопротивляемости организма;
- возрастные изменения.
Этиология лимфосарком у кошек довольно сложна. Под воздействием эндо- и экзофакторов, которые оказывают неблагоприятное воздействие на весь организм животных, в лимфоцитах происходят необратимые изменения, которые приводят к ускоренному самопроизвольному делению, бесконтрольному размножению патологических (мутирующих) клеток. Именно в них накапливаются генетические изменения, которые приводят к развитию раковой опухоли.
Также стоит отметить, что при лимфолейкозе в патологический процесс вовлекается костный мозг. Раковые клетки распространяются по всему организму с крово- и лимфотоком, проникая в различные внутренние органы и ткани.
Лечение лимфомы
Лечение лимфомы – задача непростая. Для ее решения требуется не один доктор, а целая команда профессионалов своего дела – химиотерапевта, радиолога, хирурга, онколога, гематолога и других. В онкологическом центре «Лапино-2» есть все необходимые специалисты – врачи мирового уровня, которые проводят полную диагностику заболевания и любую необходимую терапию. У нас вам не придется пересдавать анализы, переделывать исследования и задаваться вопросом «что делать дальше?». Мы полностью ведем пациента и даем ему четкий план действий, следуя которому он получает лучший результат из возможных.
Для борьбы с данным типом онкологии применяется несколько методов:
Основным из них является химиотерапия – препараты, которые уничтожают измененные клетки. Они принимаются в виде таблеток или вводятся в вену, попадают в кровоток и распространяются по всему телу. Лечение проводится циклами, каждый из которых длится несколько недель, после чего следует период отдыха, за время которого организм восстанавливается.
Трансплантация костного мозга или стволовых клеток, из которых образуются клетки крови. Процедура позволяет назначать более высокие дозы химиотерапии, иногда вместе с лучевой терапией, благодаря чему лимфома уничтожается эффективнее. Пересадка возможна не только донорского, но и своего собственного, собранного за несколько недель до вмешательства материала.
Лучевая терапия – уничтожение измененных клеток с помощью радиации. Данный метод подходит для большинства пациентов, и особенно хорошо работает, если заболевание успело поразить небольшое количество тканей. Его применяют как самостоятельно, так и в сочетании с химиотерапией.
Иммунотерапия – препараты, которые помогают собственной иммунной системе человека лучше распознавать и разрушать неправильные клетки. Существует несколько их типов, применяемых при лимфомах. К ним относят:
- моноклональные антитела – белки, разработанные для атаки определенного вещества на поверхности лимфоцитов;
- ингибиторы иммунных контрольных точек – лекарства, не позволяющие измененным клеткам маскироваться под здоровые;
- Т-клеточная терапия: изъятие из крови пациента и изменение в лаборатории иммунных клеток, их размножение и возвращение в организм, где они отыскивают и уничтожают очаги заболевания.
Хирургия: часто используется для получения образцов подозрительных тканей и определения их типа, но редко – для терапии как таковой. В редких случаях операции назначаются при поражениях селезенки или других органов, которые не входят в лимфатическую систему – например, щитовидная железа или желудок.

Признаки
В зависимости от разновидности болезни клиническая картина может быть разной.
Когда нужно бить тревогу
Если у животного резко снижается активность и наблюдается стремительное уменьшение массы тела, это указывает на патологические изменения в организме.
При развитии лимфомы могут наблюдаться следующие симптомы:
- Затрудненное дыхание – первый признак, свидетельствующий о лимфосаркоме медиастинальной формы. На месте тимуса начинает формироваться обширное новообразование, оказывающее давление на легкие.
- Запор. Опухоль препятствует опорожнению кишечника. В запущенных случаях развивается кишечная непроходимость.
- Рвота. Задержка продуктов питания способствует формированию гнилостной микрофлоры, что ведет к интоксикации организма питомца.
- Гипертрофия лимфоузлов.
- Увеличение печени, селезенки и других анатомических структур.
- Паралич.
- Носовые и глазные выделения.
Стоит отметить, что при любой форме лимфомы количество лейкоцитов может отклоняться от нормальных значений в любую сторону. В результате развитие заболевания всегда сопровождается признаками гипопластической анемии.
Диагностика: как проходит процедура
Для постановки окончательного диагноза ветеринар назначает комплексное обследование животного, включающее:
- визуальный осмотр;
- общий и биохимический анализ крови;
- ультразвуковое исследование внутренних органов;
- микроскопию и цитологию биоматериала;
- анализ мочи.
Перечисленные диагностические мероприятия являются основными в установлении причины болезни. Дополнительно может быть назначена рентгенография, пункция головного мозга, ПЦР-анализ.
Этиология лимфом у кошек
Этиология развития лимфом у кошек сложна. В первую очередь причины появления лимфосарком связаны с носительством вируса лейкоза кошек (FeLV). Данный вирус является РНК-содержащим вирусом, передающимся посредством контакта с кровью и слюной больного животного или внутриутробно от матери к плоду. Большинство свободно гулящих кошек являются носителями данного вируса и представляют собой природный резервуар распространения данной болезни. К другим причинам, вызывающим развитие лимфосарком у кошек, относят ионизирующее излучение, хроническое отравление солями тяжелых металлов, ухудшение экологической обстановки в городах и прочие неблагоприятные воздействия окружающей среды.
Механизм развития лимфом крайне сложен, в сильно упрощенном варианте он выглядит так. Под воздействием этиологического фактора (вирус лейкоза кошек или другого) происходят изменения в лимфоцитах – они накапливают генетические изменения
Далее эти изменения приводят к развитию аномалий в ДНК, появлению отклонений и мутаций в клетках, самой важной из которых является подавление контроля над делением клеток, в результате чего клетки начинают бесконтрольно делиться, приводя к образованию опухоли. При лимфолейкозе в процесс вовлекается костный мозг, где опухолевые клетки начинают активно размножаться и распространяются током крови и лимфы в другие органы и ткани
Общие сведения, предрасполагающие факторы
Лимфома, также известная как лимфосаркома (LSA), является раком лимфатической системы
Здесь следует сделать важное уточнение: если разобрать термин, то может показаться, что речь идет о простой, доброкачественной опухоли. К сожалению, это не так
Считается, что лимфома не является злокачественным новообразованием в классическом понимании этого слова, но этот тип опухолей способен к образованию метастазов, да и поведение их достаточно агрессивно. Связано это с тем, что при этой патологии перерождаются лимфоциты, распространенные по всему организму. Так что лимфомам не обязательно даже давать метастазы, чтобы поразить все тело животного. Животные с запущенной формой этой болезни (их можно видеть на фото) выглядят не лучшим образом.
Полностью вылечить этот тип парка можно только при помощи химиотерапии и радиологического лечения. Хирургия эффективна далеко не во всех случаях. Есть ли какие-то категории кошек, которые особенно предрасположены к этому заболеванию? Кошачья лимфома практически наверняка возникает у тех животных, которые болеют лейкозом (FeLV). Таким образом, можно сказать, что эта форма рака заразна. Риск развития онкологии в этом случае повышается в 60 раз! Заражение кошачьим вирусом иммунодефицита (FIV) также увеличивает вероятность лимфомы, но все же не настолько сильно, как в случае с лейкозом. Здесь следует заметить, что истинные причины этого недуга во многих случаях остаются «за кадром».
Группа риска и причины развития лимфомы у кошек
У лимфомы есть второе название – лимфосаркома. Это онкологическое заболевание, затрагивающее лимфоузлы кота, селезенку и другие внутренние органы питомца.
Существует несколько причин и факторов развития лимфомы:
- Вирусный лейкоз и иммунодефицит повышают риск лимфомы в 62 и 6 раз соответственно.
- Постоянный контакт питомца с сигаретным дымом.
- Породная предрасположенность – чаще лимфомой страдают сиамские и бирманские породы.
- Наличие хронических воспалений и заболеваний и, как следствие, значительное снижение иммунитета.
Лимфома может развиться как у молодых, так и у пожилых кошек.
Лимфома почек и средостения у кота, подтверждена цитологически после эвтаназии и вскрытия
Прогноз для жизни
На продолжительность жизни домашнего животного влияют своевременность терапии и расположение недуга. Кошки, у которых лимфома диагностирована на начальных этапах развития, успешно излечиваются и живут в стадии ремиссии 2—3 года, иногда и больше. При отсутствии комплексной терапии или лечении лимфосаркомы одним «Преднизолоном» больная кошка проживет максимум 1,5—2 месяца. Кроме этого, шансы на успешное восстановление зависит от места локализации злокачественной опухоли. Самой неблагоприятной формой считается спинальная лимфома, при которой злокачественными клетками поражается спинной мозг.
Симптомы
В начале своего развития, выявить или хотя бы заподозрить развитие лимформы у своего домашнего любимца крайне тяжело. Зачастую её это происходит во время случайного осмотра, когда сдаются определенные лабораторные анализы и УЗИ. Первыми и главными признаками наличия подобного недуга является снижение физической активности, потеря веса, вялость, а также сонливость.
Исходя из типа образования, зависят и более конкретные клинические признаки:
- Лимфома средостения. Она сопровождается тяжелым дыханием, появлением отдышки и поражения вилочковой железы. Последнее приводит к тому, что питомец будет пытаться принять неестественные позы, по причине сдавливания легких. Кошка будет часто и глубоко дышать, у неё обильно будут выделяться слюни, а также возможно развитие гидроторакса, когда в груди происходит скапливание жидкости;
- Алиментарная лимфома. Её проявлениями является рвота, запоры и другие дизурические расстройства. К тому же за счет поражения лимфосистем органов ЖКТ возможно развитие еще и кишечной непроходимости. Такое проявление возможно устранить исключительно оперативными методами;
- Множественная лимфосаркома. При ней происходит рост размеров селезенки и печени. С внешней стороны замечается чрезмерно большой живот, при том, что он упругий. Со временем развивается еще и асцит и происходит увеличение лимфоузлов по всему телу питомца.
Признаки лимфомы у кошек
У кошек с лимфомой проявляются различные признаки, поскольку лимфоциты можно найти почти в каждом органе тела. У большинства видов, включая человека, имеются большие лимфатические узлы, но это редкая форма LSA у кошек. У молодых кошек обычно обнаруживают новообразования в грудной полости, и владельцы замечают признаки затрудненного дыхания. У пожилых кошек опухоль в кишечнике развивается довольно часто, и владельцы могут заметить такие признаки, как потеря веса, снижение аппетита, диарея или рвота.
У кошек LSA также может развиваться в таких различных областях, как носовые ходы, почки, спинной мозг, печень, глаза или один лимфатический узел, и наблюдаемые признаки будут более специфичными для пораженного органа.
Лимфома у кота, — заключение
В этой статье мы рассмотрели такое заболевание как лимфома у кота. Для этого новообразования, как и для других онкологических заболеваний свойственно очень быстро прогрессировать
. Именно поэтому нельзя затягивать с лечением. Если не оказать помощь вовремя, возможно стремительное ухудшение самочувствия и в итоге летальный исход. Наш ветеринарный центр «Я-ВЕТ» предлагает услуги квалифицированных специалистов по оказанию помощи домашним животным
. Наш центр соответствует всем требованиям, которые могут применяться к ветеринарным заведениям. Всё оборудование изготовлено по европейским стандартам качества, а препараты сертифицированы. Прозрачное ценообразование (закупаем напрямую у завода изготовителя) позволит вам быть уверенными в качестве продукции и делает доступными наши услуги всем слоям населения.




































