Описание патологии
Под инфарктом понимают очаг ишемического некроза, поражающий определенную область сердца. Инфаркт может быть мелкоочаговым или поразить практически весь миокард (крупноочаговый).
Некротический очаг может локализоваться в области:
- левого либо правого желудочка или его части;
- острая ишемия верхушки сердца;
- перегородки, разделяющей желудочки;
- сочетанной локализации.
Инфаркт может быть первичным, спонтанным и повторным, циклическим и рецидивирующим, затяжным. Возможна коронарная смерть.
В течение процесса выделяют порядка 5 стадий, начиная с продромальной и заканчивая постинфарктной (созревание рубца и приспособление сердечной мышцы к новым условиям):
- прединфаркт;
- острейшая стадия (от четверти часа до 2 часов);
- острый инфаркт с образованием некротического очага (от 2 часов до 2 недель);
- подострый период — грануляция и начало рубцевания некротического очага (от 1 до 2 месяцев);
- постинфаркт.
Иногда у кошек возникает несколько типов инфаркта одновременно либо последовательно. Обширные инфаркты для котов редкость, но они не исключены. Это очень тяжелое состояние для животного, которое может стать причиной летального исхода. Ни о каком самолечении речи идти не может.
Если под сердечным приступом у человека обычно понимают инфаркт миокарда (нарушение кровообращения участка сердечной мышцы, которое приводит к его отмиранию), то у кошек инфарктов практически не наблюдаются.
Дело в том, что сосуды, питающие сердце, у кошек развиты очень хорошо, и в случае закупорки или спазма одного из них, кровь найдёт обходной путь, а сердечная мышца не останется без необходимого кровообращения.
Так что в отношении кошек понятие «сердечный приступ» следует рассматривать не как инфаркт миокарда, а как острую сердечную недостаточность и развившийся вследствие этого кардиогенный шок, то есть полное прекращение сердцебиения.
Можно бесконечно перечислять ситуации, влекущие за собой развитие острой сердечной недостаточности, поэтому остановимся на основных общих причинах:
- различные сердечные заболевания (острые и хронические, врожденные и приобретенные, в том числе те, о которых мы уже подробно говорили в статьях «Кардиомиопатия у кошек, симптомы и лечение болезни», «Порок сердца у кошек» и «Сердечная недостаточность у кошек: симптомы и лечение»);
- серьёзная травма;
- приём сильнодействующих препаратов, в том числе при наркозе, что следует учитывать во время любых операций, особенно если ранее у кошки была остановка сердца;
- попадание внутрь какого-либо токсина, например, отравление ядом или бытовой химией;
- заболевания центральной нервной системы;
- системные болезни, например, гипертиреоз.
В группе риска — старые, больные, страдающие хроническими болезнями сердца кошки, а также животные в состоянии шока, перегрева, переохлаждения, под общей анестезией.
Владельцам стоит внимательно относится к здоровью своих питомцев, ведь даже при серьёзных заболеваниях можно длительное время поддерживать здоровье животного, не создавая излишней нагрузки на сердце.
Например, если хозяин замечает у кошки припадки с сильным сердцебиением и судорогами, то любимицу следует обследовать у ветеринарного невролога. Рано или поздно один из таких припадков закончится остановкой сердца.
Инфаркт у кошек и котов
Инфаркт у кошек и котов тоже случается. Звучит ужасно, но никто не застрахован от болезней. И предугадать, когда и чем заболеет питомец, невозможно. Это людям проще: заболело сердце, обратились к врачу и успели предотвратить беду. А с животными все намного сложнее. Они же не скажут, где, как давно и насколько сильно болит. И зачастую владельцы замечают симптомы заболевания сердца у кошки слишком поздно.
Инфаркт миокарда у кошек хоть и редкое явление, но все же бывает. И опасности в нем для здоровья и жизни питомца столько же, сколько и для человека. А все потому, что инфаркт миокарда — это отмирание участка мышцы сердца. Из-за чего сердечко перестаёт нормально функционировать. И весь организм словно «рассыпается». Без должного лечения усатик погибнет.
Профилактика
Большинство профилактических мер в отношении этого недуга не приводят к какому-либо стойкому эффекту. Однако не нужно полностью отказываться от попыток оградить животное от инфаркта. Первым делом владелец должен сбалансировать рацион кота. Не давайте ему много жирного, это защитит сосуды от образования в них холестериновых бляшек. Ни в коем случае не перекармливайте кота печенью, сыром, говядиной. Для того чтобы снизить риск появления тромбов, давайте животному больше жидкости, это будет препятствовать сильному сворачиванию крови.
Если говорить о медикаментозной профилактике, то с хорошей стороны себя зарекомендовал прием успокоительных, разжижающих кровь и мочегонных препаратов. Иногда ветеринары назначают сеансы кардиостимуляции, она позволяет существенно снизить риск возникновения инфаркта.
В недавнем времени специалистами было установлено, что во многом в возникновении сердечной недостаточности виноват недостаток в организме аминокислоты — таурина
По этой причине на сегодняшний день во многие сухие корма добавляется это жизненно важное соединение, позволяющие снизить уровень заболеваний сердца у усатых любимцев
Напоследок хочется добавить, что профилактические действия, позволяющие предотвратить патологию миокарда, не так уж сложны в своем исполнении. Каждый владелец, который хочет видеть свое животное здоровым, обязан побеспокоиться об их осуществлении. Намного проще придерживаться диетического питания и давать изредка коту седативные препараты, чем лечить его уже после произошедшего инфаркта.
Врожденные пороки сердца у кошек
Открытый боталлов проток (или незаращение боталлова протока) – патология сердца, при котором происходит незаращение артериального протока после рождения. Является «белым» пороком. Боталлов проток — это сосуд, который функционирует в эмбриональном периоде, соединяя аорту и легочную артерию, позволяя крови миновать легкие, которые у плода не функционирует. Клинически проявляется в раннем возрасте (до одного месяца) шумом слева, сверхострым течением и смертью в раннем постэмбриональном периоде в результате развития легочной гипертензии.
Тетрада Фалло – порок сердца, включающий в себя одновременно четыре патологии:
- стеноз выносящего тракта правого желудочка (клапанный, подклапанный, стеноз лёгочного ствола и (или) ветвей лёгочной артерии или комбинированный);
- дефект межжелудочковой перегородки, локализированный под аортальным клапанном;
- нарушение анатомического расположения аорты (аорта частично выходит из правого желудочка);
- гипертрофия правого желудочка, развивающееся из-за увеличения давления в камерах сердца в следствие нарушения оттока крови.
Стеноз аорты – это патология, при которой происходит сужение отверстия аорты, в результате нарушения развития створок аортального клапана.
Различают три вида аортального стеноза: подклапанный (субвальвулярный), клапанный (вальвулярное) , надклапанный (скпервальвулярный). Данная патология лечиться только хирургически, медикаментозная терапия направлена на купирование симптомов сердечной недостаточности.
Стеноз легочной артерии – это врожденная патология сердца, характеризующаяся сужением ствола легочной артерии или фиброзного кольца, или нарушением развития клапана легочной артерии. В результате данной патологии ухудшается поступление крови в малый круг кровообращения, увеличивается давление в правых камерах сердца, что приводит к развитию сердечной недостаточности.
Дефекты межпредсердной перегородки — врожденная патология сердца, при которой имеется отверстия в перегородке, разделяющей предсердия. К данной патологии так же относиться незаращение овального отверстия. Наличие дефекта приводит к сбросу крови по градиенту давления и как следствие к развитию сердечной недостаточности. Данное заболевание имеет низкую скорость прогрессии и приводит к развитию сердечной недостаточности у животных старше 5-6 лет.
Дефекты межжелудочковой перегородки — врожденное заболевание сердца, при котором имеется дефект (отверстие) в межжелудочковой перегородке. Патогенез данного заболевания характеризуется застоем крови в малом круге, приводящее к легочной гипертензии за счет роста давления в правых камерах сердца, происходящее в результате сброса крови из левого желудочка в правое.
Трехпредсердное сердце (лат. Cor triatriatum) – характеризуется наличием дополнительной мембраны в левом предсердии. Патология не несет угрозы гемодинамике, так как в перегородке имеются отверстия, сообщающие между собой обе части разделенного предсердия.
Фиброэластоз эндокарда – генетическая патология, характеризующаяся выстиланием стенки левого желудочка фиброзной тканью, что приводит к нарушению сократимости. Патология плохим прогнозом, выживаемость у животных с данным заболеванием низкая. Гибель животных регистрируется в раннем возрасте, до 4 месяцев. Наиболее подвержены кошки пород бурма и сиамская.
Диагностика гипертрофической кардиомиопатии
Сложность выявления сердечной патологии у питомца обусловлена скрытым характером течения болезни и длительным отсутствием клинической картины. Заподозрить проблемы с миокардом может ветеринарный врач в ходе клинического осмотра и прослушивания сердечных шумов. Аускультация грудной клетки помогает выявить систолические шумы, кардиальные аритмии, так называемый ри.
Обнаружив сердечные шумы и нарушения ритма, ветеринарный специалист, как правило, назначает рентгенологическое исследование грудной клетки, электрокардиографию и эхокардиографию сердца.
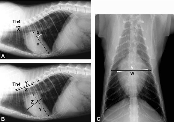
Рентгенологическое обследование позволяет обнаружить не только увеличение левого желудочка и предсердия, но и выявить плевральный выпот. ЭКГ сердца выявляет нарушения в его работе у 70% больных гипертрофической кардиомиопатией кошек.

Рентгенограмма (боковая и прямая проекция) кошки с ГКМП
Наиболее информативным методом диагностики и дифференциации от других болезней при кардиомиопатии является ультразвуковое исследование органа. Метод позволяет оценить толщину сердечной стенки, диаметр отверстия аорты. С помощью УЗИ сердца ветеринарный врач может оценить размер и форму предсердий, кровоток в камерах сердца, обнаружить тромбы.
О том, что показывает ЭхоКГ у кошек с ГКМП, смотрите в этом видео:
Причины инфаркта миокарда
Этиология ИМ – внезапное возникновение препятствия току крови в ветвях венечной артерии (сосудах, питающих сердце). Чаще всего таким препятствием становится атеросклеротическая бляшка с тромбом.
Атеросклероз в стенках артерий представляет собой формирование своеобразных “наростов” – бляшек, состоящих из жировой, фиброзной ткани, кальция, и которые по мере прогрессирования суживают просвет сосуда вплоть до 90% и более. В момент повышения артериального давления, физических усилий, психоэмоционального стресса возможен разрыв атеросклеротической бляшки, реакцией на который возникает тромбоз.
Реже причиной становится длительный, продолжительный спазм коронарной артерии при отсутствии значимого атеросклероза, либо осложнение других заболеваний: врожденные аномалии развития, травмы коронарных артерий, васкулиты, эмболия, склонность к гиперкоагуляции (повышенной свертываемости крови), сифилис.
Существует ряд факторов риска, многократно увеличивающих вероятность инфаркта миокарда.
Выделяют немодифицируемые, то есть те, на которые невозможно повлиять:
- мужской пол (до 50-55 лет, далее заболеваемость выравнивается),
- возраст,
- генетическая обусловленность (ИБС и другие проявления атеросклероза у кровных родственников);и
низкая физическая активность (гиподинамия),
ожирение или повышенная масса тела,
курение (активное или пассивное),
артериальная гипертония,
сахарный диабет и метаболический синдром,
дислипидемия.
Причины заболевания
Причиной обширного инфаркта является тромбоз, который обычно развивается как осложнение атеросклероза – формирования на стенке сосуда атеросклеротической бляшки.
Когда такое образование достигает больших размеров, оно может разорваться, или повредится, что провоцирует образование тромба. Тромб закупоривает просвет сосуда, клетки сердечной мышцы перестает получать кислород. Это провоцирует гибель элементов миокарда. Чем большую площадь питает закупоренный сосуд, тем больше клеток умрет. Если пациента доставляют в больницу быстро, врачи имеют возможность удалить тромб и уменьшить площадь некроза.
Косвенные причины обширного инфаркта называют факторами риска. Они сами по себе не вызывают ОИМ, но повышают вероятность развития патологии. К ним относятся:
- старший возраст;
- мужской пол;
- наследственная предрасположенность;
- нарушение обмена жиров;
- артериальная гипертония;
- ожирение;
- сахарный диабет;
- неправильное питание;
- сидячий образ жизни;
- курение;
- злоупотребление алкоголем.
Лечение, назначаемое ветеринаром
Срочные меры по предотвращению приступа и его последствий ветеринар начинает сразу после точной диагностики. Медикаментозную терапию инфаркта у кошек назначает только специалист. Самолечение проводить недопустимо, потому что это может плохо сказаться на общем состоянии усатого друга.
Прежде всего назначают лекарственные средства, снимающие болевые ощущения. В ветеринарии популярны такие обезболивающие таблетки, как Кетофен и Кетонал.
При диагностированном недомогании применяются:
препараты против образования тромба – Гепарин и Варфарин;
успокоительные, седативные средства – Кот Баютн, Фоспасим, Фитэкс;
диуретические средства, которые позволяют убрать отеки, снизить нагрузку на органы – Фуросемид, Верошпирон;
бета-блокаторы адреналина, повышающие функцию миокарда – они снабжают кислородом, способствуют повышению обменных процессов – Атенолол, Метопролол, Пропранолол;
комплексы витаминов С, В5, В6, В12.
При любой стадии инфаркта у кошек применяют капельницу с водно-солевым раствором, помогающую защитить организм от опасного обезвоживания. Для этой цели ставятся инъекции из физраствора или раствора глюкозы, делая их по очереди.

Самостоятельно тяжелый болевой синдром проходит крайне редко, а без адекватной медицинской помощи пациент почти всегда погибает. Если применение анальгетиков было своевременным, то дискомфорт в грудине пройдет через пару минут.
Профилактические мероприятия
Чтобы не допустить инфаркт миокарда у кошек, владельцам важно обеспечить животному умеренную физическую активность на свежем воздухе. Если отправлять питомца на улицу или же гулять с ним нет возможности, можно оборудовать для кота домик с игрушками на балконе. Игры с кошачьими предметами увеличивают нагрузку на сердце, благодаря чему сердечная мышца укрепляется и менее подвержена возникновению приступа
Игры с кошачьими предметами увеличивают нагрузку на сердце, благодаря чему сердечная мышца укрепляется и менее подвержена возникновению приступа.
Немаловажной профилактической мерой является гигиена животного и поддержание его лотка в чистоте. В туалете кота находятся разнообразные паразиты, поэтому убирать его важно после каждого опорожнения домашнего питомца. Помимо этого, владельцем нужно разнообразить рацион животного и включить в него продукты, содержащие достаточное количество витаминов и минералов
Помимо этого, владельцем нужно разнообразить рацион животного и включить в него продукты, содержащие достаточное количество витаминов и минералов.
Ветеринарные врачи советуют давать котам отварной картофель, бобовые культуры, рыбу и кисломолочную продукцию. Полезные вещества животное может получить и из витаминно-минеральных комплексов, которые дают в весенний и осенний период. Приобрести их можно в аптечных сетях. Владельцам также следует систематически посещать с кошкой ветеринара, что позволит выявить любые патологии сердечно-сосудистой системы на начальных этапах развития, провести их своевременную терапию и не допустить развития серьезных осложнений, которые могут привести даже к летальному исходу.
Это тоже интересно!
Среди сердечных болезней у самых любимых домашних питомцев числится и инфаркт. Да, как бы ужасно это не звучало, но киски тоже страдают патологиями сердца. И в то время, когда человек, почувствовав боль, мчится в больницу, где к его услугам целые бригады кардиологов, терапевтов и современнейшего оборудования, его хвостатый друг стоически переносит все проблемы со здоровьем, не имея возможности пожаловаться. Вот почему не слишком внимательные хозяева иногда спохватываются поздно , когда любимый зверек уже находится в полной власти страшного заболевания.
К счастью, инфаркт миокарда бывает у кисок редко. И, тем не менее, он бывает, а значит, несет смертельную опасность. Ведь болезнь ведет к атрофии сердечной мышцы, а без сердца жизнь невозможна, это знают все. Животное гибнет порой прежде, чем человек успевает понять, что же с ним случилось.
Возраст. Время – самый страшный враг всего живого. Старея, организм животного претерпевает гормональные изменения. Органам, в том числе и сердцу, все сложнее выполнять свои функции. А физическое напряжение способствует еще большему изнашиванию главной движущей силы питомца, его сердечка. Поэтому во всем должна быть мера. Даже если ваш любимец готов активно поиграть с вами, не стоит слишком гонять его. Физическое состояние зверька уже не позволяет справляться с такой нагрузкой.
Рацион питания. Неправильно составленное меню на протяжении жизни питомца ведет к образованию холестеринового слоя на сосудах. Это затрудняет их кровоснабжение, вызывает дефицит кислорода, который, как известно, символ жизни. Без него клетки гибнут, а это прямой путь к инфаркту миокарда у киски.
Тромб. Кровяные сгустки, образующиеся в сосудах, могу оторваться и закупорить движение кровотока. Это тоже ведет к клеточному кислородному голоданию и развитию кошачьего инфаркта.
Другие причины. Болезни сосудистой системы, воспаления, включая и инфекционного происхождения, генетические аномалии, прочие факторы могут спровоцировать инфаркт миокарда у питомца.
Инфаркт может быть первичным, спонтанным и повторным, циклическим и рецидивирующим, затяжным. Возможна коронарная смерть.
- прединфаркт;
- острейшая стадия (от четверти часа до 2 часов);
- острый инфаркт с образованием некротического очага (от 2 часов до 2 недель);
- подострый период — грануляция и начало рубцевания некротического очага (от 1 до 2 месяцев);
- постинфаркт.
Иногда у кошек возникает несколько типов инфаркта одновременно либо последовательно. Обширные инфаркты для котов редкость, но они не исключены. Это очень тяжелое состояние для животного, которое может стать причиной летального исхода. Ни о каком самолечении речи идти не может.
Уход за больным животным
В период после устранения острых симптомов домашнему питомцу следует обеспечить особое содержание, которое поможет ему прожить еще несколько счастливых лет.
Новый образ жизни
Главное условие выздоровления – полный покой. Нельзя лишний раз теребить усатого друга, допускать прыжки с высоты. Стоит ограничить посещение общественных мест. Во время выгула не надо ходить в парки с большим скоплением других животных, которые могут погнаться или напугать выздоравливающего питомца. Лучше вообще на длительное время воздержаться от прогулок.
Стрессовые ситуации нужно минимизировать. Нельзя допускать учащенного сильного сердцебиения.
Помещение, где обитает пациент, должно хорошо проветриваться. Однако недопустимо допускать нахождение кота на сквозняках. У любимца должен появиться темный уголок, куда он сможет спрятаться ото всех.

Чем кормить любимца
Много внимания в постинфарктный период уделяется питанию. Теперь меню должно состоять из легкоперевариваемой еды: углеводная пища, кисломолочные продукты, жирную белковую пищу исключают. Каши можно варить не только на воде, но и на нежирном курином бульоне.
Обязательно исключают из рациона сало, рыбу, копченые продукты, жареное и соленое. Не стоит давать выздоравливающему другу еду с хозяйского стола. В ней содержится большое количество приправ и консервантов, которые плохо скажутся на состоянии здоровья. А вот диетическое питание из мяса и овощей хорошо подойдет любимцу.
Если питомец привык к употреблению готовых промышленных кормов, то надо обратить внимание на их состав. Они не должны быть плохого качества. Следует перевести выздоравливающего кота на корм премиум-класса и выше, которые можно приобрести в ветеринарных аптеках
В них, помимо питательных веществ, содержатся элементы и витамины, полезные для сердечно-сосудистой системы. Названия кормов порекомендует лечащий ветеринар
Следует перевести выздоравливающего кота на корм премиум-класса и выше, которые можно приобрести в ветеринарных аптеках. В них, помимо питательных веществ, содержатся элементы и витамины, полезные для сердечно-сосудистой системы. Названия кормов порекомендует лечащий ветеринар.

Симптомы недуга
Инфаркт у кошек не имеет ярко окрашенных признаков. Мало того, не каждый опытный владелец сможет определить, что животное находится на грани приступа
Важно понимать, что иногда гибель кошки происходит за доли секунды, без всякой предыдущей симптоматики. Но признаки начала приступа нужно и важно знать в любом случае, это поможет выиграть время и спасти кота
Причем оценку состояния любимца необходимо проводить комплексно. Как и со всякой другой болезнью, связанной с сердцем, здесь недопустимо промедление. Поэтому хозяин должен быть очень внимателен к питомцу, который находится в зоне риска поражения инфарктом миокарда.
Рассмотрим симптомы инфаркта миокарда подробнее:
Животное не может «надышаться», причем само дыхание тяжелое. Подобный симптом может возникнуть после физической нагрузки. Он связан с тем, что на фоне сердечной возникает еще и дыхательная недостаточность.
Дисфункции в работе сердца приводят к цианозу слизистых. Они приобретают характерный синюшный оттенок.
Потеря координации движения. Кошка предпочитает не двигаться, лежит на одном месте, на знаки внимания со стороны хозяина реагирует крайне вяло.
Иногда перед инфарктом любимец может ощущать сильные болевые ощущения в районе груди и левого локтя
От этого он будет вести себя беспокойно, жалобно мяукать и повсюду следовать за владельцем, стараясь обратить на себя внимание.
Происходит резкое учащение пульса, сердечный ритм изменяется.
Болезненные ощущения в локтевом суставе вызывают хромоту в передней левой лапе кота. Постепенно боль полностью переместиться в грудную область.
К предварительным симптомам относится и результат ЭКГ или эхокардиографа
С их помощью можно с точностью установить, что у кошки есть патология сердца, которая и приведет в будущем к инфаркту.
Хозяину необходимо четко понимать, что даже если у кошки не обширный инфаркт, его все равно нужно немедленно везти в ветеринарную лечебницу. Для транспортировки питомца лучше всего использовать те переноски, которые обладают твердым основанием. Если ветврач ожидается на дом, то животное до его приезда лучше лишний раз не трогать, чтобы не усугубить ситуацию.
Каковым должно быть питание кошки?
- Промышленные корма не должны быть класса масс-маркет (Kitekat, Whiskas, Felix и другие). Следует перевести кошку на корм премиум-класса (Hill’s, Royal Canin, Purina Pro Plan и другие), продающиеся в ветеринарных аптеках. Они будут полезны не только для сердца кошки, но и для всего её организма. Даже сухой корм вряд ли одарит любимицу мочекаменной болезнью, развитием которой грешат дешёвые сухие корма.
- Какими бы жалостливыми не были глаза у кошки, ни в коем случае нельзя давать ей вкусняшки с хозяйского стола. Особенно стоит исключить из рациона любимой животинки свинину, сало, жареные мясо и рыбу.
- Хорошо подойдёт для кормления детское питание.
Профилактика инфаркта миокарда
- С детства приучить кошку к активным играм. Пусть она бегает за ниточкой или за красной точкой от лазерной указки. Главное – давать ей вдоволь набегаться.
- Правильное питание. Не нужно доводить животное до ожирения.
- Не подвергать кошку сильным хроническим стрессам. Да, котейки тоже волнуются из-за ежедневных скандалов дома, постоянных ругательств на них из-за пустяков и избиений со стороны хозяев. Если кошка неаккуратно кушает, это не значит, что следует её сразу физически наказывать. В конце концов, все мы иногда можем опрокинуть тарелку или чашку.
- Хорошим эффектом обладают прогулки на свежем воздухе около 30 минут в день.





































