Виды грыжи у кошек и котят
Грыжа у кошек делится на несколько видов по участку локализации:
- Промежностная – характерная для старых и кастрированных котов, возникает и после стерилизации кошки. Визуально похожа на анальный синусит, выглядит как бугор над сфинктером заднего прохода или под наружными половыми органами.
- Мошоночная – редко возникающая форма, при которой выпячивается петля кишечника либо мочевой пузырь.
- Межпозвоночная – нераспространенная патология, но сопровождающаяся тяжелыми осложнениями из-за защемления нервных волокон шейного, поясничного или грудного отдела позвоночника. Наиболее часто диагностируется у пожилых кошек и представителей мелких пород.
- Перикардиальная – разновидность диафрагмальной патологии, охватывающая околосердечную область. Сложно диагностируется, из-за сдавливания жизненно важных органов значительно сокращает жизнь питомца.
Также существуют пупочная, диафрагмальная и паховая формы. Они наиболее распространены у кошек, поэтому о них следует рассказать подробно.
Пупочная грыжа
Пупочная – самая распространенная грыжа у котят. Название говорит о том, что она охватывает область пупка. Выпячивающийся орган – кишечная петля. Дефект возникает при недостаточной сформированности пупочного кольца в эмбриональный период. Подверженность патологии бывает наследственной, поэтому перед покупкой питомца следует поинтересоваться у заводчика, не было ли пупочной грыжи у кошки и кота, участвовавших в размножении.

Обычно грыжа у котенка безболезненная, не мешает полноценно жить. Проблемы возникают, когда питомец подрастает. По мере роста организма брюшные органы увеличиваются, а пупочный разрыв остается прежнего размера. В результате мышечное кольцо, окружающее отверстие, начинает сдавливать выпавшую кишечную петлю. Возникают боль и дискомфорт, но это не самые страшные проявления.
Пупочная грыжа бывает вправимой и невправимой. Первый случай менее опасный: болевые ощущения отсутствуют, выпяченный участок кишечника свободно вставляется обратно в брюшную полость легким надавливанием пальцев.
Невправимая грыжа воспаленная, сопровождается болевыми ощущениями, вставить ее в брюшную полость невозможно. Из-за воспаления ткани увеличиваются, еще больше сдавливаются, иногда образуются спайки. Вправимое выпячивание может стать невправимым, если начнется воспалительная реакция.
Паховая грыжа
Паховое выпячивание нередко возникает у питомцев, страдающих нарушением стула, вынужденных тужиться, чтобы опорожнить кишечник от фекалий и газов. У кота дефект может быть врожденным.
Выглядит грыжа как шишковидная опухоль на животе. Она не угрожает питомцу, если грыжевой мешок заполнен нутряным салом. Но если выпячены внутренние органы, высок риск защемления. Содержимым грыжи у кошки на животе может стать матка, тогда при сдавливании органа возникает бесплодие.
Диафрагмальная грыжа
Диафрагмальный дефект редко носит врожденный характер, чаще возникает вследствие травмы у кошек любого возраста. Легкие, печень, иные внутренние органы выпячиваются в растянутую или прорванную диафрагму – это крайне опасное явление.
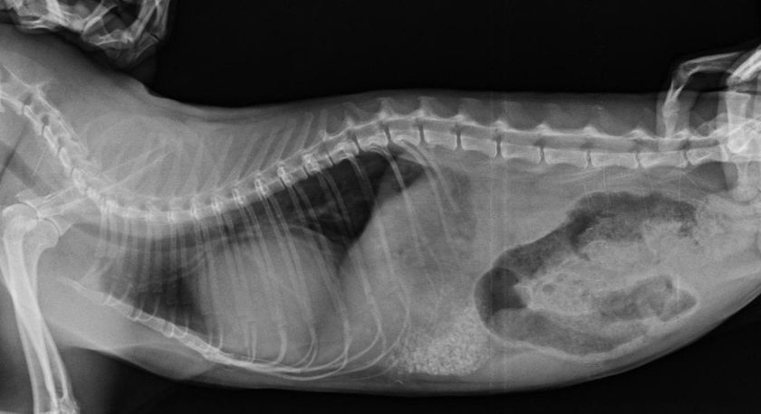
Диагностировать дефект проблематично, без аппаратных исследований не обойтись. На УЗИ монитор показывает расплывчатые затемнения. Чтобы подтвердить диафрагмальную грыжу у кошки, требуется рентгенография. Кошке дают корм с барием, затем делают рентгеновские снимки.
Лечение
Терапия может делится на консервативную и операционную. Без хирургического вмешательство обходятся при небольшом выпячивании и отсутствии защемления. Обычно это проводят только с паховыми грыжами. Для этого на котенка одевают специальную утягивающую попону, с предварительным вправлением образования, которую он будет носить несколько месяцев. В этом случае дефект стенки живота затягивается самостоятельно.
При неэффективности терапии назначают хирургическое лечение.
- Без защемления – органы вправляют в брюшную полость, а отверстие ушивается.
- С защемлением – грыжевой мешок иссекается полностью, вместе с зажатыми органами.
Такая же оперативная тактика проводится при паховых и промежностных грыжах. При последнем типе грыжи возможно иссечение образования и без защемления, обычно проводится при больших его размерах.
Лечение диафрагмальных и межпозвоночных грыж
При операции вскрывается грудная полость и все «неправильные» органы возвращаются на место. Диафрагма ушивается, с последующий ее пластикой – для этого накладывают специальная сетка или используются собственные ткани. При ущемлении органы подвергаются резекции. Очень важна реабилитация после вмешательства из-за спавшихся легких и нарушении кровообращения в грудной полости.
При межпозвоночных грыжах на начальных этапах поражения возможно проведение медикаментозного лечения. Для этого применяют противовоспалительные препараты – стероидные (преднизолон, дексметазон) или нестероидные (мелоксикам, римадил), а также обезболивающие. Обязательно на несколько месяцев ограничивают движение питомца.
Хирургическое лечение проводится с удалением выпавшего за пределы диска и части позвонка в месте грыжи. После операции необходимо обеспечить полный покой животному. Если спинной мозг сильно поврежден, животное усыпляют.
После оперативного лечения животное в течение первых суток желательно кормить только говяжьим бульоном, с предварительно снятым жиром. Затем можно вводить пюре и легко усваиваемую пищу.
Виды грыж
У кошек выделяют следующие виды патологий:
Пупочная
встречается наиболее часто и в 99% случаев врожденная и генетически обусловленная. Это значит, если у кошек-родителей была данная патология, то вероятнее всего она проявится и далее в котят.
Возникает при «проваливании» в пупочное кольцо сальника или петель кишечника (что реже). Может ущемляться. Чаще всего регистрируется у маленьких котят, у которых пуповина была неправильно откусана/перерезана или слишком близко к животу. Пупочная грыжа у кошек также иногда возникает после стерилизации кошки, когда расходятся внутренние швы.
Паховая
такая грыжа появляется из-за особенностей развития пахового кольца, куда выпадает мочевой пузырь, кишечник, матка или сальник (если есть признаки ожирения) на фоне повышения внутрибрюшного давления. Может вправляться, но высоки риски ущемления из-за своеобразного места расположения и повышенной двигательной активности котов от природы.
Диафрагмальная
с данной патологией усатые питомцы могут уже рождаться, но в большинстве случаев они приобретенные вследствие серьезных травм, падений с высоты, ударов и т.п. Из-за повышения внутрибрюшного давления кишечник начинает усиленно давить на диафрагму, прорывая ее все сильнее и давя на органы грудной полости. Очень сложно диагностировать, т.к. из-за особенностей анатомического строения у кошек даже на УЗИ и рентгене точно грыжевого мешка не видно, кроме затемнения общего плана. Чтобы убедиться, что у кошки именно диафрагмальная грыжа, ее пытаются накормить контрастным веществом (каша с барием) и сделать в нужное время рентген. Опасный вид патологии, может привести к гибели питомца.
Промежностная
появляется, когда брюшина растягивается на столько, что между прямой кишкой и маткой (а у котов между толстым кишечником и мочевым пузырем) образуется выпячивание. Основными провоцирующими факторами возникновения промежностных грыж у кошек становятся различного рода проблемы с кишечником (поносы, запоры с чрезмерным натуживанием, воспалительные процессы).
Межпозвоночная
между позвонками позвоночного столба находится некая фиброзно-хрящевая ткань, выполняющая роль некой прокладки и амортизатора между ними. При травмах, когда возникает чрезмерное давление между позвонками, эта ткань начинает в буквальном смысле выдавливаться за пределы межпозвоночного пространства и происходит ущемление (практически всегда). Вот это выпячивание и носит название межпозвоночной грыжи у кошки. Может быть, как в одном месте позвоночного столба, так и в нескольких местах (множественная). Обычно регистрируется у старых кошек старше 15 лет.
Мошоночная (скротальная)
является некой разновидностью паховой. Точнее, практически это одно и то же, только все содержимое грыжевого мешка выпадет не в паховую область, а прямо в мошонку. Встречается редко и у котов очень крупных размеров с большими семенниками.
Перикардиально-перитонеальная
по сути, это та же диафрагмальная грыжа, с тем лишь отличием, что отверстие большое на столько, что кишечные петли прямо западают всей массой в грудную полость, оказывая очень сильное давление на сердце и легкие. На практике встречается чрезвычайно редко, сложно диагностируется и обычно уже посмертно, т.к. признаки сердечной и легочной недостаточности развиваются очень и очень быстро.
Обращение к ветеринару
Как лечить кошку, определяет ветеринар. При незначительном выпячивании возможно консервативное лечение: применение мазей, лечебного массажа, фиксационного пластыря. После вправления пупочной грыжи у котенка отверстие может затянуться к полугодовалому возрасту. Для взрослых кошек консервативное лечение обычно неэффективное, требуется хирургическая операция.
Диафрагмальное выпячивание во всех случаях приходится оперировать. Нередко требуется удалить некротически измененные части печени, мышечных тканей.
При слабом межпозвоночном выпячивании у кошек бывает достаточно применения гормональных и нестероидных противовоспалительных препаратов. В тяжелом случае требуются хирургические процедуры по удалению поврежденного позвоночного диска, по декомпрессии для снижения давления на спинной мозг, по освобождению спинномозгового канала от выпятившихся тканей. При тяжелом состоянии питомца ветеринар может посоветовать эвтаназию.
Удаление грыжи проходит под анестезией либо общим наркозом в зависимости от состояния кошки и сложности патологии. Хирург рассекает кожу: ведет прямую линию при небольшом выпячивании, веретенообразную – при крупном. Раскрыв грыжевой мешок, вправляет содержимое обратно в полость. Затем убирает разрыв, накладывает швы.
К хирургическому вмешательству разрешено прибегать, когда коту исполнится 1 месяц, а кошке – не меньше 6 месяцев. Допустимо убрать грыжу раньше, если состояние котенка критическое.
Популярные ветеринарные клиники, где у кошек удаляют разные виды грыжи:
- «Кот и дог» сколько стоит процедура, зависит от сложности, разбег цен от 7000 до 20000 рублей;
- «Медвет» удаление пупочной формы – 2700 рублей, паховой – 6200;
- «Ветлайф» операция стоит в зависимости от вида грыжи и веса животного от 2750 до 8800 рублей;
- «Веда» удаление пупочной грыжи без учета стоимости анестетика и расходных материалов обойдется в 3000-4000 рублей, паховой – 4500-6000 рублей, промежностной – 12-16 тысяч, диафрагмальной – 12 тысяч;
- «ZooClinic24» во сколько обойдется операция, зависит от сложности патологии и веса животного – от 2750 до 8800 рублей;
- «Матроскин» удаление неосложненной пупочной грыжи – 3000 рублей, осложненной – 5000, паховой – 4000, промежностной – 8000;
- «Хелпвет» стоимость удаления пупочного выпячивания без учета анестезии и расходных средств 2800 рублей, пахового – 6800, промежностного – 8200;
- «Веткруг» удаление пупочного образования – 2000 рублей, пахового – 3000, промежностного – 7500;
- «Панголин» паховое выпячивание у кошки – 3000 рублей, промежностное – 5000, пупочное – 1500, ушивание отверстия в зависимости от сложности – 2000-5000.

После хирургического вмешательства нельзя забывать об уходе за животным. Кошка не должна прыгать, активно играть. Питание должно быть легким, сбалансированным. Хозяину предстоит обрабатывать хирургические швы в соответствии с рекомендациями ветеринара. Желательно, чтобы до снятия швов кошка ходила в попоне: это исключит инфицирование раны.
Осложнения у оперируемого питомца возникают редко. Гораздо страшнее последствие при отсутствии лечения: некроз неизбежно приведет к смерти, а от болевого шока при сильном защемлении кошка может погибнуть за несколько часов.
Главные меры профилактики грыжи у кошки – качественное и сбалансированное питание, исключающее нарушения работы кишечника, и создание условий, при которых маловероятно получение травм. Питомца нужно периодически ощупывать, при выявлении выпячивания обратиться в ветеринарную клинику.
Виды грыжи у кошек
У такого неблагозвучного термина есть несколько разновидностей, связанных с местом локализации и причинами появления.
промежностная (также перинеальная) характерна для стареньких котофеев и кастрированных. Кошка может быть сражена недугом после стерилизации. Болезнь часто путают с анальным синуситом, так как выглядит патология как выпячивание под сфинктером у котов или под половым органом у кошки;

мошоночная — совсем уж редкое явление. Грыжевой мешок может быть заполнен петлями кишечника или мочевым пузырём;
перикардиально-перитонеальная считается производной от диафрагмальной грыжи. Трудность идентификации и редкость болезни обязаны тому, что такая патология не позволяет животному прожить долго.
межпозвоночная — название болезни говорит само за себя. Явление это нечастое, но если уж проявилось, то сильно осложнит жизнь питомцу: будет страдать и шея, и поясница, и грудной отдел вследствие ущемления нервов. Помимо того, что заболевание чаще поражает пожилых котов, от него ещё страдают мелкие породистые кошки;

В этот список ещё включены пупочная, паховая и диафрагмальная грыжи, но на них стоит остановиться подробнее ниже.
Что будет если не лечить
Может возникнуть ущемление и как следствие некроз. Если не провести операцию животное погибнет. При безопасной грыже смещаются внутренние органы и теряют свою здоровую работоспособность.
В качестве общих профилактических мер важно диагностировать ее на ранних стадиях. По возможности произвести вправление, исключая ущемлений
Пупочная грыжа
Очень часто можно заметить у котят, когда происходит выпячивание через пупок.
Симптомы: мягкая на ощупь припухлость. Безболезненная. Может иметь размер яйца или даже больше. Если происходит ущемление, то в ней повышается температура и котенок испытывает боль при прикосновении. Наблюдается беспокойство и кошку часто рвет.
Такую небольшую грыжу образовавшуюся у котят можно с легкостью вправить. Делается это посредством массажа грыжевого кольца. По поверхности растираются мази раздражающего действия
На 2-3 недели важно закрепить лейкопластырем. В любом другом случае когда подобное вправление невозможно, ветврач делает операцию
Паховая грыжа
По симптомам паховая грыжа характеризуется как болезненная припухлость между последним соском и лонными костями. При надавливании припухлость может исчезнуть, но только в том случае, когда паховый канал широкий.
Когда происходит ущемление, то припухлость становится плотной. Повышается ее температура и кошке больно от прикосновения. Питомец постоянно лижет это место.
Если произошло ущемление кишки или мочевого пузыря, то общее состояние питомца становится еще хуже и он испытывает неимоверные страдания.
Такой вид паховой грыжи лечится зашиванием канала.
Промежностная грыжа
Односторонняя и двухсторонняя припухлость. На ощупь мягкая и безболезненная. У кота она располагается под анусом, а у кошки под половой щелью.
Она может увеличиться в объеме, если питомца поднять за передние конечности. Если взять за задние, то может исчезнуть полностью.
Что может выпячиваться? Это может быть сальник, матка, кишки, мочевой пузырь. В большинстве случаев промежностная грыжа не ущемляется.
Данный вид грыжи можно не лечить, потому что опасность ущемления крайне мала. Но только в том случае, когда сама грыжа маленькая! Если грыжа большая, делается операция. Ушивается грыжевой мешок. Делается это для того, чтобы не произошло смещение внутренних органов.
В любом случае, если у вас есть подозрение, что у кошки грыжа, отнесите ее ветеринару. Он проведет диагностику и назначит необходимые мероприятия.
http://dolphin-school.ru/gryzha-u-kota-2/http://vetvo.ru/gryzha-u-koshki-kota-i-kotenka.htmlhttp://lovecats.ru/gryzha-u-koshki/
Грыжа у кошки: профилактика
Самой лучшей профилактикой пупочной грыжи
является, пожалуй, бережный массаж брюшной полости котенку в первые часы после родов. Если у вас родились котята и вы обратились за помощью к доктору, то он может посоветовать заклеить пупок котятам пластырем, что поможет исключить проникновение в открытую ранку всевозможных инфекций, а также закроет грыжевые ворота. Также доктор может сделать специальный укол, который предлагается после оперативного вмешательства. Помните, что грыжа у котенка на животе должна лечиться в максимально короткие сроки с той целью, чтобы избежать вероятных осложнений. Также пупочная грыжа может быть и у взрослой кошки. Однако там не такой сильный риск как у котенка, который только родился.

Диафрагмальная грыжа у кошки
Чаще всего диафрагмальная грыжа у кошки является приобретенной, например, после падения котенка. Данный дефект отчетливо виден при рентгенологическом исследовании – внутренние органы буквально вдавливаются в диафрагму, тем самым растягивая и разрывая ее. Также диафрагмальная грыжа у кошки может быть выявлена не сразу, а только после того, как животное поело бариевую кашицу. Только после этого возможно повторное исследование.
- Хозяину котенка следует
обратить внимание на следующие симптомы
:Апатичное состояние;
Затрудненное дыхание;
Жесткий, тяжелый пульс;
Иногда – отек легких;
Сниженный аппетит.
Все эти симптомы очень легко перепутать с другими заболеваниями, а потому рекомендуется сделать рентген и УЗИ. Данная грыжа лечится исключительно хирургическим путем: грыжа удаляется, петли кишечника помещают внутрь, а поврежденную диафрагму ушивают. Диафрагмальная грыжа у кошки лечится точно также. Восстановительный период долгий и непростой, но после него ваше животное будет полностью здорово. Грыжа у котенка на животе должна получить лечение как можно скорее, ведь подобная патология очень мешает малышу нормально расти и развиваться. Пупочная грыжа у кошки и котенка на сегодняшний день успешно поддается лечению, главное – не запускать болезнь и при первых же подозрениях обратиться к врачу за помощью.
Профилактика, – диафрагмальная грыжа у кошки
Профилактика грыжи
диафрагмы должна стать частью повседневной заботы хозяина о кошечке. Именно он способен обеспечить животному полную безопасность. Для этого нужно не допускать падений, а в послеоперационные периоды следить, чтобы зверь двигался как можно меньше.
Почему за лечением подобного заболевания следует обратиться именно в «Я-ВЕТ»?
Ветеринарный центр «Я-ВЕТ» располагает самым передовым оборудованием, самыми квалифицированными врачами, а также имеет очень удобную услугу – выезд ветеринарного врача на дом. Вкупе эти достоинства отлично дополняются разумной платой за предоставляемую помощь. Мы получили уже сотни и тысячи благодарственных отзывов от клиентов, которые попали к нам на осмотр и лечение. Это, пожалуй, лучшее доказательство тому, что настоящий, добротный сервис все-таки существует!
Любые заболевания должны диагностироваться вовремя, а потому не следует жалеть сил и времени для того, чтобы лишний раз сводить любимого котенка на ветеринарный осмотр, поскольку своевременная профилактика поможет избежать самых разнообразных заболеваний, в том числе и грыжа самой разнообразной этиологии.

Причины
Грыжа может быть врожденной, когда патология образуется в органе или канале в виде большого анатомического отверстия в результате внутриутробного развития. Также она может быть и приобретенной, как следствие травм или патологических процессов.
Недостаток тестостерона или слабое развитие мышц ягодиц могут стать причиной появления промежностной грыжи. С возрастом у кошек может образоваться межпозвоночная грыжа, а полученная травма — привести к развитию диафрагмальной патологии. Допущенная ошибка при кастрации станет началом появления паховой.
К другим причинам также относят запоры, задержку мочи, лишний вес или его недобор, малоактивный образ жизни питомца или наоборот, чрезмерные нагрузки, а также осложнения при родах, болезни внутренних органов и истончение мышц.
Интересно! Породы диких кошек – названия с фото
Виды грыж
В зависимости от времени развития грыжа у котов бывает врожденной и приобретенной. Врожденная форма характерна для котят, она образуется, если пупочное кольцо новорожденного животного не закрывается вовремя, в результате сальник или часть кишечника «проваливаются» под кожу.
По типу грыжи разделяются на внутренние и наружные. При первых грыжевое образование смещается в соседнюю полость, при вторых грыжевой мешок выходит в подкожную мышечно-жировую клетчатку без нарушения целостности кожных покровов. Наружные грыжи, в свою очередь, разделяют на вправимые и невправимые, или ущемленные. При невправимой грыже выпавший участок органа не удается вернуть на место, из-за нарушения кровообращения содержимое грыжевого мешка воспаляется и в конечном итоге некротизируется.

Классифицируются грыжи и по местоположению.
Пупочная
Выглядит как выпуклость, мягкая при пальпации. Расположена на белой линии живота, развивается при образовании во внутренней стенке брюшины щели, отверстия.
Грыжа у котят на животе к трех-четырехмесячному возрасту нередко исчезает сама, когда пупочное кольцо, образованное переплетением сухожилий, зарастает.
Паховая
Возникает при выпадении части кишки между расположенными в паховой области мышцами и связками. Часто бывает вправляемой, не требующий хирургического вмешательства.
Диафрагмальная (хиатальная)
Появляется, когда орган, расположенный из брюшной полости, через отверстие в диафрагме выпадает в грудную полость. Образуется в результате травмы или при врожденных анатомических отклонениях (этот вид называют «скользящей грыжей» так как она имеет свойство появляться и исчезать самостоятельно).

Мошоночная
Выпавший орган попадает в расположенное в промежности мешковидное образование. Мошоночная грыжа у котов встречается относительно редко, и чаще всего развивается из-за перенапряжения мышц живота.
Перикардиально-перитонеальная
Еще одна довольно редкая для котов разновидность грыжи, когда органы, попавшие в грудную клетку из брюшной полости, оказывают давление на сердечную мышцу. Обычно является осложненным вариантом хиатальной грыжи.
Межпозвоночная
Образуется из-за деформации позвоночного диска, в большинстве случаев при этом обнаруживается повреждение спинного мозга. Позвоночная грыжа обычно вызывает сильные болезненные ощущения. Поскольку коты не прямоходячие млекопитающие, этот вид грыжи чаще всего развивается у пожилых кошек.

Грыжа у кошки, кота и котенка
Грыжа (Hernia) — под грыжей понимают выпячивание органов, покрытых пристеночной брюшиной, через существующие или приобретенные дефекты брюшной стенки.
Грыжи у кошки, кота и котенка в зависимости от анатомического места расположения бывают пупочными, паховыми, промежностными, диафрагмальными и т.д.
Грыжи состоят из грыжевых ворот, грыжевого мешка и его содержимого .
Грыжевые ворота бывают врожденные и приобретенные. Они располагаются в том месте, где сосуды, нервы, семенной канатик проходят через брюшную стенку, или в участках мышечных и апоневротических волокон. В том случае, когда грыжевое отверстие узкое и короткое, оно называется грыжевым кольцом.
Грыжевой мешок образуется париетальной брюшиной. Размеры грыжевого мешка связаны с локализацией грыжи и длительностью существования грыжи. Чаще всего ветеринарным специалистам приходится встречать, когда содержимым грыжевого мешка являются петли кишечника и сальника кошки. В том случае, когда содержимое грыжевого мешка ветеринарным специалистом легко вправляется в брюшную полость, то специалисты говорят о вправимой грыже. Ветеринарный специалист клиники посредством пальпации и перкуссии может выяснить характер грыжевого содержимого. Если в грыжевом мешке находятся петли кишечника, то при перкуссии ветврач определяет тимпанит, при аускультации выслушивает шумы перистальтики кишечника. Сальник в грыжевом мешке при перкуссии дает ветеринарному специалисту тупой звук.
При сдавливание содержимого грыжевого мешка в грыжевых воротах у животного наступает ущемление. Ущемление у кошек чаще всего наблюдается при узких грыжевых воротах и при внезапном повышении давления в брюшной полости, в результате чего происходит быстрое продвижение петель кишечника в грыжевом мешке.
Принято различать эластическое и каловое ущемление. При эластическом ущемлении орган сдавливается в узком грыжевом отверстии. При каловом ущемлении находящиеся в грыжевом мешке петли растягиваются содержимым. При этом переполняется отводящий конец кишки и происходит сдавливание брыжейки, что в конечном итоге ведет к непроходимости кишечника. При ущемлении у животного внезапно возникает боль, происходит увеличение грыжевого выпячивания. Грыжевое содержимое в брюшную полость не вправляется. При длительном уменьшении кишечных петель у животного развиваются признаки тяжелой интоксикации. Если происходит ущемление сальника, то у животного отмечаем симптомы рвоты. Владельцы животного должны иметь в виду, что при ущемленной грыже нельзя вправлять содержимое грыжевого мешка в брюшную полость, так в этом случае больному животному может быть вправлена нежизнеспособная петля кишечника.
Пупочная грыжа
Пупочная грыжа (Herniae umbulicalis) у кошек и особенно у котят встречается довольно не часто. Появляется грыжа в первые недели жизни котенка и со временем может стать серьезным препятствием для растущей кошки.
Причины появления пупочной грыжи у котенка. Пупочная грыжа у котенка почти всегда является результатом генетической предрасположенности. В большинстве случаев пупочные грыжи у кошек являются врожденными и образуются в результате неправильного обрыва пуповины. К появлению пупочной грыжи может привести– переедание животного, повышение внутрибрюшинного давления, разнообразные расстройства в работе желудочно- кишечного тракта, а также травма полученная животным в области живота.
Симптомы. Больное животное при наличие пупочной грыжи становиться беспокойным, котенок не находит себе места, постоянно мяукает. Владельцы животного при пальпации в области пупка у кошки и котенка отмечают ограниченную, мягкую, безболезненную, полушаровидную припухлость, которая обычно легко вправляется. У отдельных кошек данная припухлость может достигать размера куриного яйца, а в запущенных случаях иметь и большие размеры. Ветеринарный специалист при проведении клинического осмотра подобного котенка хорошо прощупывает пупочное кольцо. При ущемлении пупочной грыжи у больной кошки появляется рвота и беспокойство.
Диагноз на пупочную грыжу ветврач клиники ставит на основании проведенного клинического исследования пупочной грыжи.
Дифференциальный диагноз. При проведении дифференциальной диагностики ветеринарный специалист исключает у кошки ущемление грыжи.
Лечение. У котят при небольших грыжах ветеринарные специалисты применяют консервативные способы лечения, целью которых является добиться закрытия дефекта брюшной стенки пролиферированной соединительной тканью. Для этого применяют разнообразные методы: втирание раздражающих мазей, массаж грыжевого кольца; наложение лейкопластыря после вправления грыжи на 2-3 недели. Владельцы животного перед наложением пластыря должны удалить шерсть в области грыжи, кожу обработать 70%-ным спиртом, а после обработать йодезом. Ветеринарные специалисты неплохой эффект получают от применения 96%-ного спирта в толщу мускулатуры, окружающей грыжевое кольцо. В том случае когда консервативные методы лечения не помогают, прибегают к оперативному вмешательству –герниотомии, но ее делают не ранее 6 месяцев.
Операцию можно проводить при местном обезболивании, но лучше под сочетанном наркозе. Схема операции: ветеринарный специалист над грыжевым кольцом рассекает продольно кожу, отпрепарирует листок брюшины от кожи до пупочного кольца с помощью марлевой салфетки и вправляет грыжу в брюшную полость. Скальпелем скарифицирует грыжевое кольцо и накладывает на него петлевидный, узловатый или кисетный шов из шелка.
Если пупочная грыжа невправимая, то иссекают приросший участок серозного мешка, оставив его на кишечнике, затем скальпелем расширяют пупочное кольцо и вправляют грыжевое содержимое в брюшную полость. Дальнейший ход операции, как и при вправимой пупочной грыже.
При наличии ущемленной грыжи рассекают грыжевой мешок и извлекают ущемленную кишку, если она отечна и гиперемирована, ее осторожно вправляют в брюшную полость. При затруднительном вправлении ветеринарный специалист скальпелем расширяет пупочное кольцо и только после этого вправляет кишку
В том случае, когда кишка некротизирована, пораженный участок удаляют и после этого ее вправляют в брюшную полость и накладывают на брюшину швы из биосовместимых полимерных антимикробных нитей «Капромед» на мягкие ткани, а затем на кожу
При затруднительном вправлении ветеринарный специалист скальпелем расширяет пупочное кольцо и только после этого вправляет кишку. В том случае, когда кишка некротизирована, пораженный участок удаляют и после этого ее вправляют в брюшную полость и накладывают на брюшину швы из биосовместимых полимерных антимикробных нитей «Капромед» на мягкие ткани, а затем на кожу.
После вышеуказанных оперативных действий при пупочных грыжах операцию заканчивают иссечением лишней кожи и накладыванием на рану узловатого шва из шелка. Швы снимают через 10-12 дней.
Лечение в домашних условиях
Для лечения заболевания можно использовать несколько способов – обратиться к специалисту либо лечить самостоятельно. Когда грыжа вправимая, можно попытаться вылечить ее в домашних условиях. Питомцу следует выбрить брюшную стенку, удалить шерсть и регулярно массировать место. Также можно приклеить пластырь с монеток или пуговицей.
Есть более радикальный метод, можно взять спирт 96% и ввести вокруг пупочного кольца в мышцы. После этого грыжу следует вправить.
Но такие процедуры должен проводить опытный ветеринар, иначе вы можете навредить питомцу.
Может произойти так, что грыжа будет вправима, но все же она продолжает расти. В такой ситуации следует обратиться к врачу для дальнейшего лечения. Грыжу удаляют, животное продолжает вести прежний образ жизни.
Операция по удалению грыжи не считается трудной, поэтому в большинстве случаев заканчивается благополучно.
Массаж котенку при пупочной грыже
С операцией не стоит затягивать, иначе возникнут осложнения. Ущемление. Когда петля попадает в кишечник, то может защемиться, с дальнейшим нарушением кровотока. Этот процесс вызовет отмирание внутренних тканей с последующим развитием других заболеваний. В таком случаи животное может погибнуть.




































