Симптомы
Воспалительные процессы могут проявляться разными признаками. Один из них – это частые позывы к мочеиспусканию. Иногда они сопровождаются трудностями. Кошка может долго сидеть на лотке и выдавливать по несколько капель. Неопытные владельцы могут путать это состояние с запором.
Кровь в моче у кота может быть в разном количестве. Иногда она окрашивает жидкость в розоватый цвет, в тяжелых случаях после мочеиспускания в лотке остаются характерные прожилки красного оттенка. Может меняться и консистенция жидкости – она становится более густой.
Чтобы помочиться кошка начинает искать другие места – это связано с тем, что животное связывает лоток с болезненными ощущениями. Питомец беспокойно и часто вылизывает половые органы.
Как помочь питомцу?
Хозяин кошки при гематурии вряд ли может самостоятельно ей помочь, скорее наоборот, неумелые действия приведут к непоправимым последствиям.
- Единственное, что требуется от владельца – как можно быстрее доставить кота в ветеринарную клинику или показать знакомому специалисту.
- Если нет возможности быстро привести животное в лечебницу, то можно попытаться получить консультацию по телефону, подробно описав все признаки, которые наблюдались.
Заочный разговор редко несет положительный эффект, так как только при личном осмотре ветврач делает соответствующие выводы о состоянии кошки и тяжести течения болезненного процесса.
В качестве первой помощи котовладелец должен:
- обеспечить больному животному покой, поместив его в теплое без сквозняков помещение на подстилку;
- внутримышечно ввести болеутоляющие препараты (но-шпа, баралгин), что позволит облегчить болевой синдром;
- исключить из рациона все твердые продукты, вместо них предлагают жидкую пищу и легкоусвояемые корма; вода вволю;
- для дезинфекции мочевых путей до похода к врачу дать кошке отвары толокнянки, корня петрушки, фурадонин;
- воспалительные продукты из мочевыводящих путей удаляют при помощи отвара можжевельника, хвоща полевого.
Экспериментировать с антибиотиками не стоит, так как бесконтрольное их применение только осложнит ситуацию, ухудшит состояние кошки и потребует более длительного лечения в дальнейшем.
Еще раз следует повторить, что все эти манипуляции облегчат болезненное состояние животного, но не приведут к излечению. Терапевтические мероприятия при гематурии должен проводить только ветеринар после всестороннего клинического и лабораторного исследования.
Причины гематурии
Причины окрашивания урины можно классифицировать по нескольким признакам, которые говорят о разной степени опасности для животного. Гематурия может развиваться на фоне:
- заболеваний почек (гломерулонефрит, сосудистые патологии почек, рак и поликистоз почек и т. д. );
- болезней органов размножения (воспаление препуция и простаты у котов, и болезни матки, патология беременности у кошек);
- патологии системы мочевыведения (дивертикул мочевого пузыря, появления песка или камней в мочеточниках и мочевом пузыре);
- травм (падений, ДТП);
- паразитарных инфекций, гельминтозов, вирусных и бактериальных инфекций;
- перегрева и чрезмерной физической активности;
- постоперационных осложнений (в том числе, после стерилизации);
- отравлений гемолитическими ядами или химикатами, разрушающими паренхиму почек;
- лечения некоторыми медикаментами.
Эритроциты могут появиться в урине даже, как следствие соматического или системного заболевания (болезней крови, сердца, печени).
Болезни мочеполовой сферы
При заболеваниях почек у кошек может повышаться температура, появляться отдышка, в области морды и век. Животное становится беспокойным, плохо спит. Моча становится мутной и темной.
Камни в мочевыводящих путях не только царапают слизистую, вызывая кровотечение, они приводят инфицированию ранок и сужению мочевыводящих путей. Животное беспокойно, моча отходит мелкими порциями, акт мочеиспускания болезненный и сопровождается мяуканьем. Образование камней у животных вызывает некачественный сухой корм, и поедание сырой рыбы.
Онкообразования почек у котов имеют свой “период жизни” после чего ткани начинают разрушаться, изъязвляются и кровоточат. Кровь в моче может появляться редко. Сгустки крови появляются утром в моче, при следующих мочеиспусканиях их уже нет, животное апатично, иногда по вечерам у него незначительно повышается температура.
Простатит у котов проявляется жесткой походкой, апатией, иногда повышением температуры, затруднением мочеиспускания и испражнений. Перед дефекацией и микциями (акт мочеиспускания) кот рычит и сильно напрягается.
У кошек к гнойно-кровянистым выделениям может приводить пиометра. Болезнь сопровождается обильным мочеиспусканием, появлениям у кошки отдышки. Появление крови в урине у самки в период вынашивания потомства говорит о патологии беременности и требует вмешательства специалиста.
Трамы
Травмы почек и мочевого пузыря могут вызывать появление алой крови в моче, болезненность при мочеиспускании, это заметно по звукам, которые издает животное.
Отравления
Симптомы зависят от конкретного яда, например, при отравлении ядом, предназначенным для крыс, животное становится апатичным, из-за нарушения свертываемости крови начинаются внутренние кровотечения, кот тяжело дышит, кашляет, может обнаруживаться кровь в моче, развиваться гемоторакс и т. д.
Осложнения после операции
Чаще всего возникают по причине неграмотного наложения легатур, обычно после стерилизации сгустки крови обнаруживаются в брюшной полости. Появление крови в моче требует особого внимания специалиста.
Инфекции и паразиты
Паразиты, вирусы, бактерии (микоплазмы) все эти организмы, попадая в почки и систему выведения мочи, нарушают ее работу, воспаляется слизистый слой, выстилающий стенки мочевого пузыря, присоединяется вторичная инфекция, развивается дизурия, появляется белок и кровь в моче.
У животного могут быть общие симптомы (повышение температуры, расстройства работы ЖКТ), а также болезненность при мочеиспускании.
Пироплазмоз
Очень спорным для котов является такое заболевание, как пироплазмоз. Болезнь вызывают внутриклеточные паразиты (бабезии). Бабезии, взывающие этот тяжелый недуг у собак, котам не опасны.
Но отдельные источники информации сообщают о выявлении более мелкого паразита “кошачьей бабезии”. Которая, как и ее более крупная товарка, разрушает эритроциты, и приводит к полиорганной недостаточности.
Отечественные ветеринары зафиксировали лишь несколько случаев заболевания котов пироплазмозом, и до сих пор спорят не является ли диагноз ошибкой лаборанта. Тем не менее, если моча кота приобрела насыщенный красно-коричневый цвет, животного отказывается от пищи, двигается с трудом – это повод обратится к “кошачьему доктору”.
Очень много болезней, которые трудно даже перечислить в рамках одной статьи могут стать причиной гематурии у котов.
Изменение окраски мочи, сопровождающееся нарушением поведения и самочувствия животного требую скорейшей консультации ветеринара.
Лечение
Единственное, что может сделать владелец для своего питомца, — это обеспечение покоя. Не рекомендуется самостоятельно использовать препараты, поскольку это может ухудшить состояние любимца. Запрещается прикладывать тепло, массировать животному мочевой пузырь и пытаться вылечить питомца одними народными средствами.

На свой страх и риск можно попробовать использовать антибиотики и болеутоляющие, но при неправильном применении высок риск развития осложнений и резистентности у патогенов, поэтому лучше получить хотя бы заочную консультацию ветеринара
Схема терапии зависит от патологии. При обнаружении конкрементов назначается особая диета в зависимости от типа струвитов. Животному желательно давать влажный корм, чтобы не травмировать ткани мочевыделительной системы. Специалист может назначить диуретики для усиления циркуляции мочи, антибиотики для борьбы с патогенами и спазмолитики для облегчения оттока урины. Обезболивающие средства временно улучшают состояние питомца, но не борются с основным заболеванием. Котятам антибиотики подбирают с учётом возрастных ограничений.
Диагностика заболевания
Правильный диагноз — залог успешного преодоления болезни. Если кот писает кровью, необходим полный комплекс компьютерного обследования.
Основные методы, применяемые для постановки точного диагноза:
Анализы мочи для полной картины состояния кошачьего организма:
общий — по наличию опасных веществ и по количеству эритроцитов определяет, насколько превышен допустимый уровень, указывающий на наличие воспаления;
коагулограмма — определяет стабильность процесса свертываемости крови, что будет очень важно при необходимости оперативного вмешательства;
биохимия — сразу покажет на наличие проблем с почками;
бактериальный посев и тест на чувствительность — покажут наличие бактериологии в моче и чувствительность к антибиотикам.
Цистоскопия — определит внутреннее состояние мочевого пузыря и уретры.
Рентген с контрастом — метод позволяет выявить аномалии в мочеполовой системе (опухоли, камни).
Рентген брюшной полости — метод выявления конкретно камней в мочевыводящей системе.
УЗИ брюшной полости — еще один метод выявления наличия инфекции, каменных образований или опухолей.
 В случае оперативного вмешательства на гистологический анализ отправляют биоматериал (опухоль, камни). В зависимости от этого назначается послеоперационный курс лечения.

Знаете ли вы? Австралия считается страной кошек. 90% австралийцев имеют в доме этих животных.
Лечение
Единственное, что может сделать владелец для своего питомца, — это обеспечение покоя. Не рекомендуется самостоятельно использовать препараты, поскольку это может ухудшить состояние любимца. Запрещается прикладывать тепло, массировать животному мочевой пузырь и пытаться вылечить питомца одними народными средствами.

На свой страх и риск можно попробовать использовать антибиотики и болеутоляющие, но при неправильном применении высок риск развития осложнений и резистентности у патогенов, поэтому лучше получить хотя бы заочную консультацию ветеринара
Схема терапии зависит от патологии. При обнаружении конкрементов назначается особая диета в зависимости от типа струвитов. Животному желательно давать влажный корм, чтобы не травмировать ткани мочевыделительной системы. Специалист может назначить диуретики для усиления циркуляции мочи, антибиотики для борьбы с патогенами и спазмолитики для облегчения оттока урины. Обезболивающие средства временно улучшают состояние питомца, но не борются с основным заболеванием. Котятам антибиотики подбирают с учётом возрастных ограничений.
Этиология
С учетом того, что список болезней, сопровождающихся гематурией обширен, то и причин, почему у кошки в моче появляются сгустки крови, будет не мало. Остановимся лишь на самых распространенных.
- Инфекционное начало — это может быть воздействие на организм в целом и на мочевую систему в частности вирусов, бактерий (лептоспиры, листерии, стрептококки, стафилококки, кишечной), грибов (кандида, аспергилла) и паразитов (дикотофимоз).
- Попадание в организм ядов растительного и химического происхождения. Путь попадания может быть любым: с кормом, через дыхательные пути и даже через кожу, особенно, если на ней имеются повреждения.
- Сенсибилизация организма аллергенами.
- Любое простудное заболевание, вызывающие осложнение на почках, может стать причиной появления крови в моче у котенка. При этом большое значение в этом случае отдается переохлаждению животного и содержанию его в ненадлежащих условиях, например, в постоянном холоде и сырости. 
- Малоподвижный образ жизни.
- Травмы, при этом они могут носить и хирургический характер, например, при кастрации, когда неаккуратное оперативное вмешательство повреждает целостность того или иного органа.Рекомендуем к прочтению статью «В каком возрасте кастрируют котов: взвешиваем плюсы и минусы«. 
- Любые воспалительные процессы в мочевом пузыре, возникающие в результате нисхождения инфекции из почечных лоханок или восхождения из уретры. К тому же цистит нередко возникает при нарушении правил стерильности во время катетеризации.
- Образование и разрастание доброкачественных и злокачественных опухолей в любом из органов мочеполовой системы также может стать одной из причин выделения мочи с кровью у кота.
- Образование камней в результате нарушения регуляции солевого обмена (этиологические факторы этого явления рассмотрим ниже).
Причины МКБ
Этот вопрос настолько обширен, что его стоит разобрать чуть подробнее. Вопрос камнеобразования в почках и мочевыводящих путях до конца не выяснен.
 Камни в почках
Камни в почках
Чаще всего виной становится погрешность в кормлении:
- в рационе нарушен баланс кислотных и основных элементов,
- корма содержит слишком много фосфатов, например, костной муки,
- однообразное питание.
Причиной образования камней и появления крови в моче у кота кастрата, служит малый диаметр мочеиспускательного канала. Из-за этого биологическая жидкость может застаиваться в почках и мочевом пузыре, ощелачиваться, выпадать в осадок, дополнительно вызывая воспаление и еще больше ухудшая состояние животного
Из-за чего возникает эта патология?
Итак, из-за чего же в моче вообще может появиться кровь? Каковы причины? Во-первых, это может свидетельствовать о каком-то опасном кровепаразитарном заболевании. В частности, такое возможно при пироплазмозе. Мельчайшие паразиты интенсивно питаются красными кровяными тельцами прямо в общем кровотоке, в результате чего в крови появляется много свободного гемоглобина. Организм не успевает его утилизировать, в результате чего моча становится красной. К аналогичным последствиям может привести и лептоспироз, при котором выделения у животного вообще могут приобрести цвет хорошего томатного сока.

Причиной таких симптомов может быть также какое-то заболевание мочеточников, или же при цистите. В этом случае кровь попадает в мочу через их стенки. У старых котов красный цвет выделений вполне может свидетельствовать об онкологическом заболевании мочеполовой системы. Наконец, у все тех же котов, особенно старых и кастрированных, кровь в моче — почти 100% гарантия наличия мочекаменной болезни. Вообще, заболевания почек (нефриты, пиелонефриты) очень часто сопровождаются появлением форменных элементов крови в моче. Не стоит сбрасывать со счетов и банальные механические травмы. Так, если у кошки кровь в моче после падения, это свидетельствует о возможных ушибах как самих почек, так и прочих отделов мочеотделительной системы.
Этот тревожный признак также может свидетельствовать о тяжелом отравлении кошки гемолитическим ядом. Такое часто происходит, если животное поедает отравленные приманки, предназначенные для мышей и крыс. В очень редких случаях кровь в моче может появляться при введении каких-то лекарственных препаратов. Если это так, то прием этого лекарства следует немедленно прекратить, а кошку показать ветеринару. К слову говоря, форменные элементы крови вполне могут появиться в выделениях после катетера. Свидетельствует это о том, что процедура его введения была выполнена непрофессионально, в результате чего нежные стенки уретры были повреждены. Такое случается, если перед введением катетера животное не получило спазмолитических средств, которые позволяют гладкой мускулатуре расслабиться и не препятствовать продвижению инородного тела.
Патологические причины гематурии
Причин того, что кот писает кровью, существует большое число. Поэтому сам владелец вряд ли способен точно выяснить, что произошло. Ветеринары называют 9 основных причин:
- Болезни почек, вызванные воспалением. Они провоцируют повреждение тканей органа, и в урину выделяются отторгающиеся сгустки крови. Это может носить долговременную форму, но лечение требуется срочное. 
- Травмы мочеполовой системы, которые чаще бывают у животных, гуляющих на улице. Бурая моча – главный признак разрыва тканей почек и мочевого пузыря. Кот нуждается в быстром оказании помощи, иначе может произойти инфицирование, сепсис и летальный исход. 
- Воспаление мочевыводящих путей из-за камней, которые при выходе травмируют их. Урина приобретает розовый оттенок. Поздняя терапия приводит к осложнениям и хроническим заболеваниям. 
- Мочекаменное заболевание, способствующее внутреннему кровотечению из-за повреждения стенок мочевого пузыря или почки. Коту следует оказать быструю медикаментозную помощь. 
- Цистит, который характеризуется воспалением оболочки мочевого пузыря и последующим появлении кровоточащих язвочек. Такое кровотечение бывает разной степени интенсивности. Состояние требует назначения противовоспалительных и антибактериальных средств. 
- Опухоли доброкачественного или злокачественного характера, разрастание которых приводит к бурым выделениям при мочеиспускании. Запущенная опухоль часто встречается у стареющих особей. 
- Прием некоторых лекарственных средств, предназначенных для человека. Самостоятельное назначение таблеток приводит к осложнениям и грозит смертельным исходом при продолжении неправильного лечения. Ни в коем случае не надо давать котикам таблетки парацетамола или аспирина. 
- Хронические заболевания разных систем организма, из-за которых могут возникнуть кровотечения. 
- Поражения половой системы, при которых происходит смыв с внутренних органов и появление бурых лужиц. 
При любой причине требуется осмотр специалиста и своевременное назначение медикаментов. Отсутствие диагностики может вызвать необратимые осложнения, которые назвать незначительными невозможно.
 
Почему может быть кровь в моче у кошки
Особого внимания требует появление крови в моче у кошки. Иногда такое проявление списывается на течку. Во время нормальной половой охоты у кошек не бывает выделений из петли. Кровь – это всегда патология.
Но чаще владельцы решают, что это мочекаменная болезнь, и начинают ее лечить. После применения антибиотиков и противовоспалительных средств наступает улучшение на некоторое время. Оно у некастрированных кошек опасно. У самок хотя и случается мочекаменная болезнь, но в очень редких случаях. Чаще кровь в моче поступает не из мочевыводящего канала, а из петли. Кровь является выделением из матки и сигнализирует о серьезном процессе, в ходе которого могут быть затронуты мочеточники.
Пиометру, гнойное воспаление внутренней поверхности матки, кошки переносят на ногах. У животного может быть сохранён аппетит и активность. Лишь у некоторых самок появляется болезненность брюшной области. Выделения могут быть гнойные или гнойно-кровавые. Пиометра подлежит хирургическому лечению, причём, чем раньше, тем выше шанс сохранить жизнь и здоровье. Если владелец заметил кровь в моче некастрированной кошки, то это повод сразу бить тревогу, даже если животное хорошо себя чувствует.
Что делать, если в моче появилась кровь
Если вы заметили в лотке кровь или окрашенную в красный цвет мочу, необходимо как можно быстрее показать животное ветеринарному врачу.
На прием следует взять баночку с мочой питомца. Для ее сбора в продаже представлены специальные наполнители.
Также можно предложить кошке лоток с решеткой без содержимого. После того, как она опорожнит мочевой пузырь, уберите сетку и аккуратно вылейте мочу в стерильный контейнер.
На приеме опишите доктору рацион и образ жизни кошки. Подумайте, не мог ли питомец съесть ядовитое вещество.
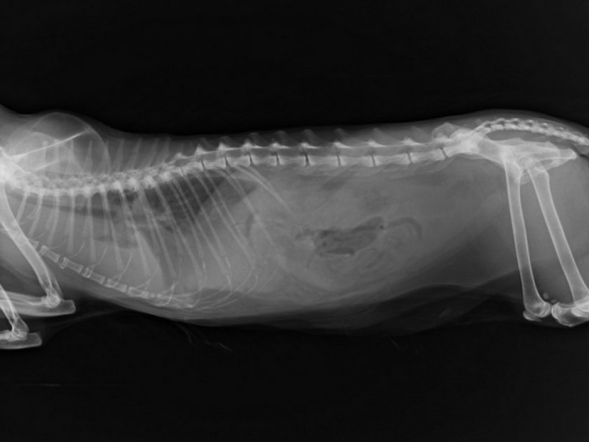
  Котик на обследовании
Котик на обследовании
Для диагностики котов и кошек, ветеринар назначает следующие обследования:
- исследование мочи – позволяет обнаружить в урине наличие эритроцитов, лейкоцитов, клетки эпителия и бактерии. Если у питомца идет кровь из писуна, и дома не удалось получить чистую, не просроченную урину, второй вариант получить ее — через катетер. Но это делает ветеринар.
- биохимический и общий анализы крови – показывают, как работают внутренние органы (в т.ч. почки);
- посев урины для определения чувствительности к антибиотикам – для такого анализа мочу собирают непосредственно из мочевого пузыря путем его прокола;
- ультразвуковое исследование внутренних органов – позволяет оценить состояние почек, мочевого пузыря, помогает обнаружить новообразования;
- рентген для выявления камней в мочевом пузыре или почках;
- цистоскопия – проводится путем введения во влагалище или уретру специального эндоскопа, с помощью процедуры оценивают состояние мочевыводящих путей;
- мазки из влагалища – их проводят кошкам с вагинитом.
Если у кошки обнаружилась опухоль, ветеринар возьмет частичку тканей и отправит на исследование.
Это поможет определить природу происхождения новообразования (злокачественное или доброкачественное) и назначить химиотерапию.
Профилактика
Лучший способ профилактики гематурии – качественное кормление кошки (сухие корма премиум класса или разнообразный натуральный рацион с высоким уровнем белка), а также комфортные условия содержания (без рисков падений с высоты, травм, перевозка в жестких переносках, прогулки по огражденной территории).
Возрастных котов и кошечек (старше 10 лет) необходимо периодически отвозить на осмотр ветеринарному врачу и сдавать кровь и мочу на анализ, чтобы на ранних стадиях определять недуги.

Животные, которых владельцы стерилизовали или кастрировали, нуждаются в лечебном питании, особенно при выявленной склонности к мочекаменной болезни. Марку и аббревиатуру корма для кота определяет лечащий врач по результатам анализов.
Кровь в моче кота – признак тревожный, но не несет опасности, если ее мало. Главное, что должен знать владелец кошки с такой проблемой – нельзя затягивать с посещением врача, так как возрастает риск развития анемии, и мучения питомца усиливаются с каждым днем.
Мне нравится23Не нравится
Причины появления крови в моче
Кровь в моче не заболевание, а только один из симптомов нарушения в работе внутренних органов у кошки. Причины крови в моче у кошки самые разнообразные. Среди них выделяют несколько основных факторов, на которые опирается врач при проведении клинического осмотра и сбора анамнеза.
Самыми распространенными заболеваниями, сопровождающимися гематурией являются:
- Инфекции мочеполовой системы. Различные патогенные микроорганизмы вирусы и бактерии (лептоспироз, листериоз, стрептококкоз, стафилококковая инфекция, кишечная палочка), грибки (кандидоз, асперегиллез), а также паразиты провоцируют начало воспалительного процесса, повреждающего чувствительную слизистую оболочку, выстилающую мочевыводящие пути.
- Интоксикация химическими веществами и ядами растительного происхождения. Проникновение токсических веществ с пищей, через респираторные пути с вдыхаемым воздухом, а также через поврежденные кожные покровы, вызывает целый ряд симптомов, среди которых не последнее место занимает гематурия, вызванная внутренними кровотечениями .Например, при отравлении зоокумаринами, препаратами для травли грызунов, нарушается функция факторов свертываемости крови.
- Аллергическая реакция. Есть породы кошек, особенно чувствительные к различным аллергенам в виду особенностей иммунной системы. В особых тяжелых случаях течения аллергии у кошки на фоне общей сенсибилизации, может развиваться гематурия.
- Острые респираторные вирусные инфекции. Не своевременно вылеченные заболевания дыхательной системы могут давать осложнения на другие органы. Чаще всего страдает мочевыделительная система, так как почки являются природным фильтром организма. Попадая с током крови в почечные структуры, вирусы или бактерии провоцируют начало воспалительного процесса. Особое значение в развитии осложнений после простудных заболеваний имеет иммунитет животного. При слабых защитных силах, питомец чаще подвергается атакам вредоносных микроорганизмов.
- Малая подвижность. Отсутствие физической активности негативно сказывается на общем состоянии организма кошки. Помимо этого, причиной появления гематурии может быть чрезмерная масса тела и ожирение, влекущие за собой нарушения обменных процессов и как следствие проблемы в мочеполовой системе.
- Травмы. Появление крови в моче может быть у кошки после падения с высоты. Кроме того, травмы могут быть связаны с проведением оперативного вмешательства – после стерилизации или же кастрации животного.
- Воспаления мочевого пузыря. При прохождении по восходящему или же нисходящему пути инфекция может оседать в мочевом пузыре, вызывая циститы. Причиной инфицирования может быть как недостаточная гигиена животного (неправильные условия содержания), так и непрофессиональное проведение хирургических манипуляций (катетеризация).
- Злокачественные и доброкачественные новообразования в любой части мочевыделительной системы приводит к нарушениям в работе органов. В результате нарушения целостности слизистой оболочки возможно выделение капель крови, окрашивающих мочу в характерный для гематурии оттенок.
- Мочекаменная болезнь. Нарушения обменных процессов в организме неизбежно влекут за собой проблемы водно-солевого баланса. В результате диссонанса образовываются конкременты, которые при прохождении через мочевыводящие каналы приводят к мелким или же крупным кровооизлияниям (в зависимости от стадии заболевания и величины образованных камней). Характерной особенностью мочекаменной болезни у котов является выделение мочи маленькими порциями, что связано с частичной закупоркой конкрементом выводящих урину путей.
Появление крови в моче не является нормой, и ждать дальнейшего развития без лечения не рекомендуется. Особую опасность представляет кровь в моче у кастрированного кота. В норме из раневой поверхности не должно быть кровянистых выделений. Допустимо лишь выделение сукровицы. В противном же случае необходимо сразу обращаться в ветеринарную клинку, в связи с осложнениями после оперативного вмешательства.
Симптомы патологии

Примесь крови в моче кота – не единственный признак болезней мочеполовой системы, травм внутренних органов. Наряду с ним (в зависимости от причины развития гематурии) у животного может наблюдаться:
- учащенное мочеиспускание;
- удушение общего состояния здоровья;
- частичная или полная потеря аппетита;
- малая подвижность, сонливость, апатия.
Кошка громко мяукает, пытаясь сходить в туалет, проявляет нервозность и беспокойство. В шести из десяти случаев у домашнего питомца повышается температура тела, появляется рвота и другие расстройства пищевого поведения.
Испытывая дискомфорт, боль животное начинает мочиться в неположенных местах. Оно теряет интерес к происходящему вокруг и пытается спрятаться в темное место, чтобы добиться уединения. У больного питомца снижается реакция на внешние раздражители. Казалось, еще вчера он активно принимал участие в подвижных играх, был жизнерадостным и веселым, как уже сегодня с трудом передвигается, агрессивно реагирует на любое прикосновение своего хозяина.
Причины и лечение кошек с кровью в моче
- Воспаленные почки. Такие симптомы можно получить при любом воспалительном процессе, который задел почечную ткань. Срочное лечение кота, у которого кровь в моче, необходимо при прогрессирующей инфекции поразившей лоханку и чашечку органа. Чаще всего почки у питомцев страдают от травм полученных в следствии ушибов. Вот и выходит, что в этом случае в моче появляются сгустки крови.
- Затронутые в следствии воспалительного процесса мочеточники. Это происходит потому что все отделы мочеполовой системы расположены рядом и не защищены от воспаления.
- Онкологические процессы. Кровотечение может быть вызвано новообразованием. Такая симптоматика говорит о том, что онкологический процесс на запущенной стадии и следует немедленно обратиться к ветеринару. Появление в моче крови будет признаком для немедленного обращения к врачу.
- Травмированный мочевой пузырь. Такой симптом возможен при ушибе. При первых признаках крови в моче после ушиба обращаться нужно к специалисту. После ушиба также может открыться довольно сильное кровотечение.
- Мочекаменное недомогание. Данная болезнь возникает при образовании коралловидных камней в следствии гематурии. Болевые симптомы могут локализироваться в почках, чашечках, лоханке или мочевом пузыре. При ходьбе или на поворотах они ранят ткани животного острыми краями. Именно поэтому в моче появляются кровавые сгустки.
 
Животных страдающих на мочекаменную болезнь необходимо сразу вести к специалисту. В мочеточники камни попадают с током мочи, сами они там образоваться не могут. У питомцев мочеточные пути очень тонкие и узкие. По мочевым путям иногда могут продвигаться смещающиеся солевые или известняковые образования. Отток мочи может быть заблокирован полностью или частично, при этом стенки мочеточника травмируется инородным телом. В таком случае в моче появляются кровянистые выделения.
Если применять медикаменты, которые предназначены для людей, то они могут воздействовать на организм кошек парадоксально. Лекарственные средства могут вызвать кровь в моче, сделать ее розовой или темной, в редких случаях открыть кровотечение. Не рекомендуется давать котам парацетамол или аспирин. Вызвать нефрологические заболевания или заразить паренхиму можно гентамицином. Поэтому он считается особо опасным для кошек.
Профилактика гематурии у котов
Анализируя факторы, провоцирующие заболеваемость, стараемся их устранить. Или хотя бы свести к минимуму.
- Группу риска (кастратов) кормим специальным питанием. Сбалансированный состав послужит щитом от многих неприятностей. Баланс в нем на уровне, мочу подкисляет – это тоже профилактика. Знайте, что многие разрекламированные корма не только бесполезны, а даже вредны.
- Не думайте, что хищнику (по природе) достаточно белковой пищи, углеводы ему тоже нужны. Однобокое питание – источник нарушения обмена веществ. Поэтому варите каши, добавляйте овощи, витаминизируйте и вносите разнообразие в питание кошки.
- Вредно кормить стерилизованных особей преимущественно рыбой (особенно морской). Большое содержание солей, характеризующее этот продукт, сослужит плохую службу. Они, накапливаясь, кристаллизуются в камни.
- Ложно мнение, что котам молочное нельзя. Оно — источник кальция, в разумных дозах и формах он необходим.
- Поэтому вполне подойдут кисломолочные продукты.
- Обеспечьте любимцу подвижный образ жизни, тогда обмен веществ у него улучшится.
- Не перекармливайте кошек! Это общее правило, ожирение всегда имеет шлейф проблем.
- Организм должен промываться – пить пушистому подопечному давайте вволю. Зубам и костяку полезнее вода сырая, но в регионах, характерных жесткостью питьевой воды, поите кипяченой или бутилированной.
- Есть породы (персидские, сибирские, британские), склонные к камнеобразованию.
Если кошка наследственно предрасположена к ожирению, ее тоже подразумеваем находящейся в группе риска МКБ.
Случайно, без причины кровь в моче у кота не появится, но домашнее лечение рискованно. Помните, что необходимы рекомендации врача, диагностические процедуры (УЗИ, анализы).
Время – фактор ведущий. Медлить никак нельзя, срочно обратитесь к ветеринару, назначенные предписания выполняйте скрупулезно. Жизнь и состояние маленького пациента зависят от вас, поэтому берегите его.
Как понять, что у кошки появилась кровь в моче
В большинстве случаев обнаружить проблему удаётся при визуальном осмотре мочи. Нормальный оттенок урины — от почти прозрачного до насыщенного оранжевого. Присутствие коричневых, розовых и алых тонов, а также цвет мясных помоев свидетельствует о наличии патологии. Иногда в моче обнаруживаются отдельные кровянистые прожилки. Чем темнее оттенок, тем дольше урина находится в мочевом пузыре и тем больше в ней примесей. Наиболее опасно появление гнойных сгустков: этот симптом свидетельствует об инфицировании и развитии осложнений.

Эпизодическое изменение оттенка мочи может быть связано с употреблением моркови или свёклы
При низкой концентрации крови в моче оттенок урины практически не изменяется, поэтому последнее слово остаётся за лаборантами. При подозрении на наличие патологий владельцам рекомендуется убрать наполнитель из лотка или застелить пол пелёнками, если животное отказалось от своего «туалета». Последнее происходит довольно часто: у моей сестры кот стал ходить мимо из-за мочекаменной болезни, у меня кошка перешла на ковры, когда у неё начался цистит. Использование наполнителей и отказ от лотка могут затруднить контроль цвета урины.

Видимое изменение оттенка наблюдается при тяжёлом течении патологий и обострениях



































