Симптомы и диагностика
Симптомы непроходимости кишечника нарастают постепенно. Сначала раздувается живот, его стенки становятся болезненными. Кошка пытается опорожниться, но безрезультатно. Животное жалобно мяукает.
Поскольку прохождение пищевых масс прекращается, они подвергаются переработке гнилостными бактериями, обсеменяющими корм. Ядовитые метаболиты всасываются в кровь, развивается интоксикация, возникает рвота. Постепенно исторгаемые массы приобретают фекальный запах, поскольку через рот удаляется содержимое толстого кишечника. Кошка перестает питаться, а затем и пить, поскольку все, попадающее в желудок, вызывает рефлекторную рвоту.
Причину заболевания устанавливают при клиническом осмотре, собирают анамнез. Проводят рентгенологические исследования с контрастным веществом. В сомнительных ситуациях применяют методы диагностической лапаротомии. Исключают запоры, при которых наблюдают сходные патологические симптомы.

Причины недуга
Каждая форма нарушения проходимости вызывается своими причинами от инородного тела до патологии внутренних органов. Она может быть врожденной и приобретенной. Врожденная форма наблюдается у котят с аномалиями развития кишечной трубки.
Непроходимость сосудистого генеза
Сосудистая непроходимость возникает вследствие острой резкой непроходимости сосудов кишечника. Это может быть следствием тромбоза или эмболии.
Спастическая непроходимость
Этот вид синдрома вызван рефлекторным спазмом кишечника, который возникает, как ответная реакция на боль при:
- гельминтозах;
- попадании разных предметов в кишечник;
- травмах живота;
- острой сердечной патологии (инфаркте);
- травме ребер (переломе);
- приступе панкреатита в острой форме;
- пневмо-, гемотораксе, некоторых видах пневмоний, плеврите;
- колике (почечной, желчной) т. п.
Кроме того, спазмы могут быть обоснованы неврологической патологией, в том числе ЧМТ, инсультом, травмой спинного мозга. Дисциркуляция тоже может быть причиной данного вида патологии.
Паралитический вариант синдрома
Его причина – парез либо паралич кишечника, который развивается вследствие операций, затрагивающих брюшную полость, перитонита, отравлений некоторыми медикаментами солями тяжелых металлов, пищевой токсикоинфекции.
Обтурация кишечника
Этот вариант синдрома вызывается желчными и кишечными камнями, глистными клубками, комками шерсти, внутрипросветными новообразованиями, инородным предметом, сдавление стенок кишечника опухолью, поразившей близлежащие органы.
Странгуляция
Эта патология развивается при ущемленной грыже или при завороте кишок, при инвагинации или узлообразовании на петлях кишечника. Эта патология может быть следствием рубцовых изменений, повышением внутрибрюшного давления, сращением петель кишечника, спаечным процессом. А также голоданием в течение большого промежутка времени, которое завершилось чрезмерным поглощением пищи.
Лечение непроходимости кишечника у кошек
Непроходимость кишечника — нарушение продвижения по кишечнику его содержимого. Она может возникнуть при перекрытии просвета кишечника инородным телом (около 80% случаев) или опухоли (4-5%), завороте кишок (5%) и параличе кишечника (10%).
При непроходимости организм резко обезвоживается, происходит потеря минеральных веществ (в особенности калия, который необходим сердцу). Если вы попробуете напоить кота, то у него начнется рвота. Если питомец вовремя не получит ветпомощь, то через несколько дней может погибнуть от обезвоживания. В худшем случае у кота может начаться некроз кишки, который также приведет к его гибели.
Признаки непроходимости кишечника
Поставить верный диагноз может только специалист. Подозрения могут вызвать следующие симптомы:
запор/скудный стул;
рвота;
ухудшение общего состояния.
Если вы заметили эти признаки у своего питомца, поспешите обратиться к ветеринару (особенно если вы знаете, что животное проглотило посторонний предмет).
Первая помощь коту при кишечной непроходимости
Прежде всего перестаньте давать животному корм и питье. Они могут вызвать рвоту и ускорить обезвоживание организма. Не стоит делать коту клизму или давать слабительное: они вызовут сокращение кишечника, которое в месте закупоривания может спровоцировать разрыв его пострадавшего участка.
Противорвотное лекарство также не поможет ваше питомцу, а только ухудшит его состояние и помешает поставить правильный диагноз.
Лечение непроходимости кишечника
Кошку обязательно нужно показать ветврачу. Он осмотрит ее, при необходимости назначит прохождение УЗИ и рентгенографию. Специалист подберет метод лечения — консервативный или оперативный.
Если коту проведут операцию, то ему потребуется время для восстановления. В этот период животному могут прописать антибиотики, а также голодную диету. Также кошке нужно восстановить баланс жидкости в организме.
Чтобы предотвратить заболевание у питомца, следите за тем, с какими предметами он играет. Не стоит давать коту для игр нитки, бумагу, фольгу, оболочку от колбасы.
Симптоматические проявления

Симптомы непроходимости кишечника у кошек зависят от основной причины, вызвавшей закупорку, а также от степени тяжести и запущенности патологического процесса. Некоторые питомцы отказываться принимать пищу, больше лежат и выглядят не здоровыми.
Регистрируются случаи, когда кошка необычайно активна и на закупорку кишечника практически не указывает никакая симптоматика. Основными признаками закупорки кишечника являются:
- Извержение желудочного содержимого, приобретающее усиливающийся характера. В первые сутки после развития непроходимости кишечника у кошки рвота возникает на фоне большого скопления специфического секрета из смеси желудочного сока и кишечного содержимого. Владелец животного часто не зная точной причины рвоты, начинает усиленно отпаивать кошку водой или отварами лекарственных растений. Но это только усугубляет процесс, провоцируя более сильный рвотный рефлекс.
- Нарушение аппетита. Отказ от корма и воды возникает на фоне воздействия непереваренных частичек корма на рецепторы. Животное отказывается от любой пищи, даже от любимых лакомств.
- Отсутствие акта дефекации. Такой признак непроходимости кишечника развивается на фоне обструкции просвета. Несколько дней от начала патологического процесса каловые массы могут выделятся из прямой кишки, но их количество снижено.
- Нарушение в общем состоянии питомца. Развивающаяся интоксикация организма приводит к апатичности животного, вялости и малой подвижности. Питомец может призывно мяукать, не реагируя на лакомства и игры.
Болезненные ощущения в области живота. Метеоризм и увеличение объемов живота – один из основных признаков непроходимости кишечника у кошки. Повышенное скопление газов в кишечнике – визуально увеличивает объемы живота. При прощупывании брюшной стенки отмечается напряженность, а питомец испытывает сильную боль.
Заметив у домашнего питомца один из вышеперечисленных симптомов, рекомендуется как можно скорее показать его ветеринарному специалисту. Нельзя кормить животное и даже давать воду, так как это может стать причиной тяжелых осложнений.
Заподозрив у кошки непроходимость кишечного тракта запрещается прибегать к самостоятельному лечению и давать слабительные средства, так как это может привести к разрыву стенок кишечника.
Непроходимость кишечника у кошки: что происходит?
Кишечная непроходимость у кошки – это полное или частичное прекращение движения пищи в кишечнике кошки вследствие разных причин. Не застраховано от этой напасти ни одно животное, нередко встречается у котят. В нормальном состоянии содержимое кишечника постоянно продвигается вперед, обильно смачиваясь пищеварительными соками, расщепляясь на простые питательные вещества, которые вместе с жидкостью всасываются через стенки кишечника в кровь
Закупорка кишки нарушает этот процесс и приводит к весьма печальным последствиям, поэтому важно на ранней стадии диагностировать непроходимость и оказать животному ветеринарную помощь
Симптомы патологии непроходимость кишечника у кошки
Разберемся, как определить первые признаки кишечной непроходимости, характерные именно для нее, чтобы не спутать, например, с запором и не навредить питомцу. Ваша задача – как только симптомы появились, позвонить ветеринару, так как часто речь идет о спасении жизни кошки:
Кошка игнорирует еду, даже любимые лакомства, а позже отказывается и от воды. Возникает рвота. При попытках сходить на лоток кошка мяукает, стонет, тужится, но результат отсутствует. Живот вздувается, так как кишечные газы скапливаются в кишечнике, вызывая дискомфорт и боль при пальпации
Кошка странно себя ведет: бегает, громко мяукает, вылизывает живот, пытается привлечь к себе внимание, или, наоборот, становится вялой и апатичной
Заметив подобные симптомы, немедленно направляйтесь к телефону и набирайте номер нашего центра «Я-ВЕТ». Получив консультацию ветеринара, вы определитесь с ним в дальнейших совместных действиях, и выиграете бесценное время, потому что при непроходимости кишечника животное может погибнуть за 2-7 дней.
Непроходимость кишечника у кошки: что не следует делать?
- Давать слабительное, так как это будет провоцировать сокращение мышц кишечника, вызывая его дальнейшее повреждение и даже омертвление отдельных участков из-за нарушения кровоснабжения;
- делать клизму – это может привести к увеличению давления в кишке и ее разрыву;
- не кормить и не поить кошку, это только вызовет рвоту;
- не давать противорвотные средства.
Кишечная непроходимость у кошки: диагностика
Ветеринар ставит предварительный диагноз кишечная непроходимость у кошки, исходя из клинических симптомов и осмотра животного. При пальпации определяется вздутый, “острый” живот, отдельный болезненный участок. Чем выше развилась непроходимость кишечника у кота по отношению к желудку, тем тяжелее прогноз.
Далее берутся анализы крови, чтобы определить общее состояние кошки, выявить сопутствующие заболевания, степень интоксикации организма.
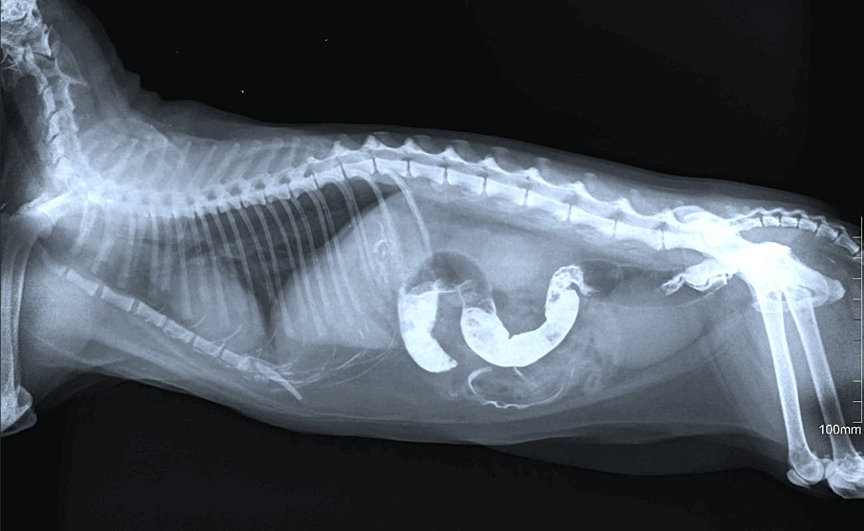
Самым показательным обследованием является в данном случае рентген брюшной полости, особенно с применением контрастного вещества, например, сернокислого бария.
Если эти мероприятия не дают ясности в постановке диагноза, врачи принимают решение прибегнуть к хирургическому вмешательству, так называемой диагностической лапаротомии.
Непроходимость кишечника у кошки (илеус): причины
- Исходя из причин и развития патологического процесса, различают разные виды кишечной непроходимости у кошки:
Механическая, при которой продвижению содержимого кишечника мешает какое-то препятствие:
- крупные частицы корма (часто у котят),
- кости,
- инородные предметы,
- гельминты,
- кишечные безоары (“камни”). Как правило, это трихобезоары, клубки из шерсти, которые коты обычно отрыгивают, но если этот механизм не сработал, этот камень может застрять в кишечнике.
К этой группе можно отнести инородные тела, не перекрывающие просвет кишечника, но серьезно нарушающие его функции и моторику (нитки, леска, новогодние украшения).
2. Динамическая непроходимость, при которой нарушена нормальная моторика кишечника, подразделяется на две группы:
- непроходимость из-за усиленной моторики возникает при длительной диарее,травме или врожденных болезнях ЦНС, инфекционных заболеваниях. При этом часто наблюдается инвагинация – вкладывание “кишки в кишку”, что и создает проявление закупорки кишечника. Это чревато некрозом кишки;
- непроходимость из-за ослабления моторики или атонии. В этом случае происходит замедление продвижения пищевого комка и каловых масс в кишечнике, их уплотнение и возникновение копростаза (“калового завала”), который вызывает интоксикацию организма, развитие гнилостных процессов в желудочно-кишечном тракте.
Симптоматические проявления
Серьезная патология — непроходимость кишечника — выражается достаточно яркими симптомами, которые позволяют быстро диагностировать заболевание и своевременно приступить к лечению. Симптомы патологии зависят от характера и повадок животного:
Некоторые кошки начинают активно бегать и громко и сильно мяукать, пытаясь привлечь внимание хозяина к своей проблеме. Другие же, наоборот, становятся вялыми и апатичными, у них появляется излишняя сонливость.
Во всех случаях у животного пропадает аппетит, вплоть до полного отказа от еды, даже несмотря на нарастающее чувство голода
Любой проглоченный питомцем кусочек пищи не может быть полностью переварен и вызывает нестерпимые болезненные ощущения.
У животного появляется рвота, которая носит нарастающий характер.
У питомца сильно и достаточно заметно увеличивается живот, до которого он не дает дотрагиваться, так как малейшее прикосновение причиняет ему сильные боли. При пальпации такого живота отчетливо ощущается напряженность и твердость, иногда можно прощупать даже инородные предметы.
У животного наблюдается повышенное газообразование, которое еще больше раздувает область брюшной полости. При этом некоторые особи постоянно вылизывают свой живот и катаются по полу, стараясь таким образом облегчить приступы боли.
При запоре животное страдает от невозможности облегчить кишечник, у него наблюдается незначительный стул. При кишечной непроходимости каловые массы вообще не могут покинуть организм животного, как бы оно ни старалось.
Все эти симптомы свидетельствуют о развитии у домашнего любимца кишечной непроходимости, и не заметить их достаточно трудно. Как только у животного появляется аномальное, не свойственное ему поведение, необходимо сразу же обратиться в ветеринарную клинику, где с помощью необходимых методов диагностики врачи смогут поставить правильный диагноз и назначить необходимое лечение.
СОПУТСТВУЮЩИЕ ТОВАРЫ
ВЗРОСЛЫЕ КОШКИ (от 1-7 лет), КОТЯТА (до 1 года), Низкая активность и склонность к избыточному весу, СТЕРИЛИЗОВАННЫЕ КОШКИ
Купи сейчас
<span class=’nowrap’>Science Plan</span> Youthful Vitality has been scientifically developed with cutting edge food science to deliver nutrition that helps fight the signs of aging in your adult 7+ yrs cat.
Купи сейчас
Поддерживает иммунитет, здоровое пищеварение и мышечную массу у взрослых кошек
Купи сейчас
Передовое питание <span class=’nowrap’>Science Plan</span> для заботы о здоровье пищеварительной системы и кишечного микробиома
Купи сейчас
Диагностика
Для постановки диагноза кишечной непроходимости обязательно проводится ряд лабораторных и инструментальных исследований:
- биохимический анализ крови может указать на нарушения обменных процессов (нарушение состава микроэлементов, снижение белка);
- общий анализ крови – может быть увеличение лейкоцитов при воспалительных процессах;
- колоноскопия (исследование толстого кишечника при помощи датчика с видеокамерой на конце) помогает при толстокишечной непроходимости, для исследования тонкого кишечника применяется – ирригоскопия;
- рентгенологическое исследование кишечника обязательно при постановке данного диагноза. При введении рентгеноконтрастного вещества в просвет кишечника можно определить уровень развития кишечной непроходимости;
- ультразвуковое исследование не всегда информативно, так как при кишечной непроходимости происходит скопление воздуха в животе, что мешает нормальной оценке данных.
В сложных случаях проводят лапароскопическое исследование брюшной полости, при которой в брюшную полость вводится датчик с видеокамерой через небольшой прокол. Данная процедура позволяет исследовать органы брюшной полости и поставить точный диагноз, а в некоторых случая сразу провести и лечение (заворот кишок, спаечный процесс).
Дифференцировать кишечную непроходимость необходимо с:
- острым аппендицитом (УЗИ, локализация в правой подвздошной области);
- прободные язвы желудка и 12-перстной кишки (проведение ФГДС, рентгенография с контрастным веществом);
- почечная колика (УЗИ, урография).
Для уточнения диагноза всегда необходимо проведение дополнительных методов исследования, так как только по симптомам дифференцировать кишечную непроходимость невозможно.
Причины непроходимости кишечника у кошек
Непроходимость кишечника происходит из-за закупоривания какого-то из отделов кишечника, в результате чего желудочный сок, каловые массы и газы не способны выйти наружу. Это очень опасное состояние, которое в течении пары дней может привести гибели животного.

Соки в желудке кошки вырабатываются постоянно. Если происходит закупорка кишечника, они начинают скапливаться в желудке, что приводит к рвоте. С жидкостью выходят многие полезные вещества, что приводит к быстрому обезвоживанию организма. Животное теряет силы на глазах.
Чаще всего основной причиной закупорки кишечника является заглатывание всяких крупных предметов. Однако, также непроходимость может развиться на фоне других заболеваний.
Основные причины механической непроходимости кишечника:
- Заглатывание крупных предметов. Кошки очень любопытны, и они нередко пробуют разные предметы на зуб. Однако не все из них способны выйти из организма естественным путем. Наиболее опасными считаются: целлофановые пакеты, шуршащие бумажные обертки, новогодняя мишура и прочее.
- Комки шерсти в желудке. Кошки вылизывают себя, и вся выпадающая шерсть, особенно в период линьки, оказывается в желудке. В большинстве случаев шерсть легко выводится сама – именно с этим связана периодическая рвота у кошек. Бывают случаи, когда ком шерсти начинает двигаться дальше по пищеводу и купирует кишечник.
- Заражение гельминтами. Хотя от глистов в той или иной мере страдают все бездомные кошки, иногда ситуация может значительно усугубиться. Гельминты очень быстро размножаются. Они нередко купируют различные внутренние органы животного. Образовавшийся ком гельминтов может закупорить кишечник.
- Новообразования в кишечнике. Опухоль не обязательно должна быть злокачественной, чтобы привести к гибели животного. Зачастую новообразование растет медленно, а потому сначала кошка начинает страдать от частичной непроходимости кишечника. Опухоль будет расти до тех пор, пока полностью не заблокирует пищевод.
- Заворот кишок. Происходит пережим одного из разделов кишечника. Ситуация усугубляется тем, что к непроходимости добавляется некроз отмирающих тканей.
- Грыжа. В некоторых случаях часть кишки может выпасть в брюшную полость. Происходит ее передавливание тканями, что может привести к некрозу тканей и непроходимости кишечника.
- Запоры. Неправильное питание приводит к тому, что каловые массы становятся все более сухими. Они с трудом проходят через кишечник. Это может привести сначала к запорам, а после к образованию каловой пробки.

Кроме механической, существует еще динамическая непроходимость кишечника. Она связана не с механическим закупориванием кишечника, а с нарушением кишечных сокращений.
Основные причины динамической непроходимости кишечника:
- Проведенная операция на брюшной полости.
- Другие серьезные заболевания: асцит, перитонит, приводят к параличу стенок кишечника.
- Травма позвоночника.
- Нарушение кровообращения в брюшной области.
- Сильный спазм приводит к сжатию мышцы кишечника. При этом животное чувствует очень сильную боль. Спазм может быть вызван воспалительными заболеваниями (энтеритом, энтероколитом), либо сильной механической травмой брюшной полости.
Что можно обнаружить? Самые частые находки
Гастриты, энтериты, колиты
Воспалительные процессы в желудочно-кишечном тракте могут быть вызваны разными причинами: неподходящий корм, погрешности в питании, регулярное поедание инородных предметов (травматизация), паразитарные заболевания, пищевая непереносимость и другие. При ультразвуковом исследовании данные заболевания могут проявляться в виде утолщения слоев стенки органа, изменений в соотношении слоев и/или характера содержимого. Часто гастроэнтероколиты сопровождаются нарушениями перистальтики, что также выявляется на УЗИ.
Инородные предметы
Домашним животным свойственно играть и грызть игрушки или иные предметы, которыми они заинтересуются. Нередко они могут разгрызть и проглотить какой-либо предмет, будь то кость, детская игрушка или пакет. После этого есть несколько вариантов исхода:
- предмет небольшой и сам выйдет естественным путём;
- предмет небольшой и выйдет со рвотой;
- предмет может находиться в желудке животного довольно длительное время, раздражая слизистую и провоцируя рвоту;
- предмет довольно крупный и застрянет в кишечнике, вызвав частичную или полную непроходимость желудочно-кишечного тракта.
Подозрение на проглатывание инородного предмета – прямое показание для ультразвукового исследования. Несмотря на некоторые ограничения, которые накладывают особенности ЖКТ (например, газ в полости желудка мешает исследованию), в большинстве случаев инородные предметы хорошо диагностируются с помощью УЗИ, за исключением некоторых случаев: метеоризм желудка и кишечника, мелкие мягкие инородные предметы.
Язвы, эрозии
Язвы и эрозии также можно обнаружить при исследовании, особенно в кишечнике, если он освобожден от газов. В данном случае при острой боли можно исключить прободение стенки желудка или кишечника по наличию свободного газа, свободной жидкости в брюшной полости, а также по измененным в области поражения жировым тканям.









Инвагинации
Инвагинация – это внедрение одного участка кишечника в другой, вызывающий непроходимость кишечника. Инвагинации в большинстве случаев требуют хирургического вмешательства и являются следствием разных патологических процессов – воспалительных, инородных предметов, нарушений перистальтики, опухолей и других. УЗИ является достоверным методом диагностики данной патологии.
Лимфангиэктазия
Лимфангиэктазия – патологическое расширение лимфатических протоков, находящихся в стенках кишечника, которое приводит к рвоте, диарее, потере белка, выпоту жидкости в брюшную полость. Признаки данной патологии можно обнаружить на ультразвуковом исследовании при должной подготовке: в отсутствие голодной диеты патологический процесс можно спутать с нормой при естественном пищеварении.
Новообразования
Новообразования желудка и кишечника могут выглядеть по-разному. Например, как объемное образование, растущее в просвет или, наоборот, снаружи органа; может быть утолщение стенки с отсутствием дифференциации слоев, а также существует форма индолентной лимфомы у кошек, когда может не быть утолщения стенки, только лишь изменения в соотношении слоев стенки. УЗИ в данном случае может быть способом обнаружения опухоли или изменений органа, но не постановки точного диагноза: для этого нужно брать биопсию.
Нарушения перистальтики
Многие заболевания сопровождаются нарушениями перистальтики желудочно-кишечного тракта. Например, может быть усиленная, спастическая перистальтика при остром гастроэнтероколите, замедление или отсутствие перистальтики (гипотония и атония соответственно), например, при остром панкреатите или парвовирусном энтерите. Обнаружение этих изменений позволит врачу-терапевту дополнительно назначить препараты, стимулирующие перистальтику, или препараты для расслабления гладкой мускулатуры кишечника.
Ультразвук является рутинным методом для диагностики различных патологических состояний желудочно-кишечного тракта. К сожалению, не всегда УЗИ дает четкий окончательный диагноз, так как для диагностики некоторых заболеваний требуется проведение биопсии и гистологического исследования. При невозможности постановки точного диагноза (например, в случаях подозрения на новообразования) прибегают к дополнительным методам: гастроскопии, колоноскопии, диагностической лапаротомии со взятием биопсии и другим методам. При обнаружении у Вашего питомца симптомов поражения желудочно-кишечного тракта Вы можете самостоятельно записаться на УЗИ ЖКТ или брюшной полости по телефону 8 495 995 50 30.
Берлизова Алина Михайловна, Ветеринарный врач, эксперт визуальной диагностики Ветеринарная клиника Свой доктор Люблино, Москва
Вернуться к списку
Клинические симптомы
В большинстве случаев холецистит наблюдается как острое заболевание. Владельцы отмечают у животного тошноту, рвоту, отказ от корма, боли в области живота. Желтуха является необязательным симптомом, особенно если общий желчный проток свободен, и может проявляться не сразу. Ее появление в этом случае объясняется развитием неспецифического реактивного гепатита и внутрипеченочного холестаза в ответ на эндотоксины из воспаленного желчного пузыря. Холецистит, сопровождающийся застоем желчи, может приводить к ахолии и обесцвечиванию каловых масс. Появление на фоне этих симптомов лихорадки, синдрома острого живота и признаков септического шока (поверхностное дыхание, гипотермия, бледные десна и слабый, но частый пульс) может указывать на разрыв желчного пузыря и требует неотложных мероприятий.
Холецистит может быть хроническим и проявляться периодической тошнотой у животного, признаками дискомфорта после еды, потерей аппетита, снижением веса, диареей или протекать вообще без каких-либо симптомов (а изменения в желчном пузыре будут случайной находкой при ультрасонографии).



































